您的位置: > 口腔保健 >
烤瓷牙失败了怎么办?及早修复是关键!
发表于:2023-03-03 来源:德伦口腔 编辑:徐编 点击:次
烤瓷牙修复主要是通过磨掉两边邻牙的一层牙质,包上牙套并连带中间假牙,三颗连接一起,形成类似“桥”的形状,所以又称为固定桥修复。

优点:烤瓷牙修复后的牙齿坚固,咀嚼功能较好,患者不会有不适感。
缺点:这种治疗是以损害健康牙代价为基础,是不可逆的破坏性修复。如果修复时磨除设计不当,会带来各类并发症。
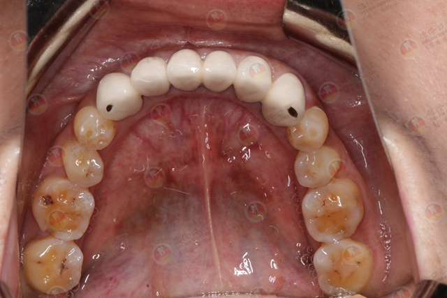
很多牙齿缺损的朋友选择了烤瓷牙来进行牙齿修复,可随着使用的时间推移,却渐渐出现牙龈红肿、出血、出现黑线、口腔异味、不自然等问题,这些都属于烤瓷牙失败的现象。

烤瓷牙失败案例
那么,为什么烤瓷牙会失败?做烤瓷牙失败了怎么办呢?
为什么烤瓷牙会失败?
01、日常使用爱护不够
如果对烤瓷牙爱护不够,很可能会引起崩瓷的情况。如咬硬度较高的东西或者过硬、过韧的食物,像拿牙齿当工具开啤酒瓶盖或者意外受伤导致烤瓷牙受到猛力撞击等。
02、睡觉有磨牙习惯
晚上有磨牙的习惯的话,佩戴烤瓷牙时容易产生牙齿咬合问题,也容易导致崩瓷。
03、烤瓷牙材料不太好
烤瓷牙材料不够好,会使烤瓷牙出现崩瓷的状况。如金属铸件太薄,不足以支持烤瓷层,金属处理、烤瓷不当,预氧化处置不当造成氧化层过厚或者过薄等。
生物相容性差的金属也会对周围组织产生不良刺激,出现过敏、腐蚀、金属离子渗出等现象,从而产生牙龈炎、牙周炎、龈缘黑线、口腔异味等。
04. 跟医生技术有关
医生的技术对烤瓷牙的使用寿命也起到关键性的作用。比如,烤瓷牙若设计不合理,就有可能因为受力过大出现假牙折裂、崩瓷、真牙松动等现象;或者做的烤瓷牙与真牙之间不太密合,缝隙大,或者粘接剂质量不高,都会导致病菌进入缝隙造成对天然牙的腐蚀,形成龋齿,导致里面的真牙坏了,烤瓷牙也用不长。

烤瓷牙失败了该怎么办?
其实大多数患者当初选择烤瓷牙修复时都是奔着“低价”去的,并不了解金属烤瓷牙的弊端与危害,使得后续使用中牙龈出现黑线、红肿出血等情况,在发现问题后应及时进行二次修复,让口腔恢复以往健康状态,避免口腔问题的进一步恶化。查看德伦口腔烤瓷牙修复案例>>>

以下方式可以修复或重做:
一、改用全瓷牙
全瓷冠是由全瓷烧制而成的一种固定修复体材料,这种修复体本身不含任何的金属成分,因此其半透明度与天然牙近似,修复后使得牙龈边缘更加自然、仿真,且不具有刺激性,这是牙齿美学修复中广为使用的一种牙冠材质。

二、改用种植牙
种植牙是目前较为主流的牙齿修复方式,其性能优越于烤瓷牙。种植牙坚固耐用,同时不需要进行磨牙,其外观也与真牙接近,若做好日常保养,使用寿命很长。

种植牙是接近天然牙的缺牙修复方法。科学技术的发达,使得种植技术越来越成熟,越来越舒适,更加符合患者对种植牙的要求。
1、正规的医疗机构,有资质并且经验丰富的医生。因为缺乏资质和临床经验极少的医生在为患者进行牙齿修复的过程中任何环节都可能出现差错,牙齿修复毫无质量保证;

2、材料的选择。应该选择对身体无害,与人体生物相容性好的材质;
3、牙齿修复后要定期复诊检查,这样子发现有问题也能及时处理。
德伦口腔于2014年就成立了数字化设计中心,引进一站式数字化全程导板种植技术,德伦口腔自主研发的数字化导板输出已达数万例,数量是全国各类种植系统导板输出总使用量的十倍,为缺牙患者带来舒适准确的种牙体验。
德伦口腔于2021年引进口腔种植机器人,通过专家与机器人相结合操作,AI手术前规划,把设计好的种植体位置轴向深度的指令输入到机器人大脑,光学跟踪定位,减少误差,具有随动功能,可根据患者微动调整,硕博专家联合操作,实现数智种植。查看德伦口腔数智种植牙案例>>>
如果您还有其它问题,可以在线咨德伦口腔专家为您解答相关口腔问题,您也可以拨打全国热线电话 020-83782905 咨询,德伦口腔专家会竭尽所能的帮助您。
您的位置: > 口腔保健 >
烤瓷牙修复主要是通过磨掉两边邻牙的一层牙质,包上牙套并连带中间假牙,三颗连接一起,形成类似“桥”的形状,所以又称为固定桥修复。

优点:烤瓷牙修复后的牙齿坚固,咀嚼功能较好,患者不会有不适感。
缺点:这种治疗是以损害健康牙代价为基础,是不可逆的破坏性修复。如果修复时磨除设计不当,会带来各类并发症。
很多牙齿缺损的朋友选择了烤瓷牙来进行牙齿修复,可随着使用的时间推移,却渐渐出现牙龈红肿、出血、出现黑线、口腔异味、不自然等问题,这些都属于烤瓷牙失败的现象。

烤瓷牙失败案例
那么,为什么烤瓷牙会失败?做烤瓷牙失败了怎么办呢?
为什么烤瓷牙会失败?
01、日常使用爱护不够
如果对烤瓷牙爱护不够,很可能会引起崩瓷的情况。如咬硬度较高的东西或者过硬、过韧的食物,像拿牙齿当工具开啤酒瓶盖或者意外受伤导致烤瓷牙受到猛力撞击等。
02、睡觉有磨牙习惯
晚上有磨牙的习惯的话,佩戴烤瓷牙时容易产生牙齿咬合问题,也容易导致崩瓷。
03、烤瓷牙材料不太好
烤瓷牙材料不够好,会使烤瓷牙出现崩瓷的状况。如金属铸件太薄,不足以支持烤瓷层,金属处理、烤瓷不当,预氧化处置不当造成氧化层过厚或者过薄等。
生物相容性差的金属也会对周围组织产生不良刺激,出现过敏、腐蚀、金属离子渗出等现象,从而产生牙龈炎、牙周炎、龈缘黑线、口腔异味等。
04. 跟医生技术有关
医生的技术对烤瓷牙的使用寿命也起到关键性的作用。比如,烤瓷牙若设计不合理,就有可能因为受力过大出现假牙折裂、崩瓷、真牙松动等现象;或者做的烤瓷牙与真牙之间不太密合,缝隙大,或者粘接剂质量不高,都会导致病菌进入缝隙造成对天然牙的腐蚀,形成龋齿,导致里面的真牙坏了,烤瓷牙也用不长。

烤瓷牙失败了该怎么办?
其实大多数患者当初选择烤瓷牙修复时都是奔着“低价”去的,并不了解金属烤瓷牙的弊端与危害,使得后续使用中牙龈出现黑线、红肿出血等情况,在发现问题后应及时进行二次修复,让口腔恢复以往健康状态,避免口腔问题的进一步恶化。查看德伦口腔烤瓷牙修复案例>>>

以下方式可以修复或重做:
一、改用全瓷牙
全瓷冠是由全瓷烧制而成的一种固定修复体材料,这种修复体本身不含任何的金属成分,因此其半透明度与天然牙近似,修复后使得牙龈边缘更加自然、仿真,且不具有刺激性,这是牙齿美学修复中广为使用的一种牙冠材质。

二、改用种植牙
种植牙是目前较为主流的牙齿修复方式,其性能优越于烤瓷牙。种植牙坚固耐用,同时不需要进行磨牙,其外观也与真牙接近,若做好日常保养,使用寿命很长。

种植牙是接近天然牙的缺牙修复方法。科学技术的发达,使得种植技术越来越成熟,越来越舒适,更加符合患者对种植牙的要求。
1、正规的医疗机构,有资质并且经验丰富的医生。因为缺乏资质和临床经验极少的医生在为患者进行牙齿修复的过程中任何环节都可能出现差错,牙齿修复毫无质量保证;

2、材料的选择。应该选择对身体无害,与人体生物相容性好的材质;
3、牙齿修复后要定期复诊检查,这样子发现有问题也能及时处理。
德伦口腔于2014年就成立了数字化设计中心,引进一站式数字化全程导板种植技术,德伦口腔自主研发的数字化导板输出已达数万例,数量是全国各类种植系统导板输出总使用量的十倍,为缺牙患者带来舒适准确的种牙体验。
德伦口腔于2021年引进口腔种植机器人,通过专家与机器人相结合操作,AI手术前规划,把设计好的种植体位置轴向深度的指令输入到机器人大脑,光学跟踪定位,减少误差,具有随动功能,可根据患者微动调整,硕博专家联合操作,实现数智种植。查看德伦口腔数智种植牙案例>>>
如果您还有其它问题,可以在线咨德伦口腔专家为您解答相关口腔问题,您也可以拨打全国热线电话 020-83782905 咨询,德伦口腔专家会竭尽所能的帮助您。
牙齿问题在线咨询
020-8378 2905
网上自助挂号
患者
须知
贯彻国家卫生部新医改政策,严格落实解决挂号难、看病难问题,开展网络自助预约挂号服务。

口腔连锁品牌