德伦口腔:让全民拥有一口健康好牙

020-83782905关注我们:

  • 首 页
  • 关于德伦
    德伦品牌
    学术科研
    公益事业
    环境设备
  • 专家团队
  • 在线挂号
  • 加入我们
  • English

您的位置: > 口腔内科 > 牙周科 > 刷牙出血 >

关于牙周炎的相关知识,你一定要知道

发表于:2023-07-27 来源:德伦口腔 编辑:徐编 点击:次

牙周炎主要是由局部因素引起的牙周支持组织的慢性炎症。如果牙龈炎没有及时治疗,炎症可由牙龈向深层扩散到牙周膜、牙槽骨和牙骨质而发展为牙周炎。
 

 
牙周炎早期多没用明显症状,因此易被忽视。等到发现时,已经比较严重,甚至必须拔牙。因此,为了预防牙周炎,小德给大家普及下牙周炎的相关知识。
 
导致牙周炎的原因?
 
01、菌斑
粘附于牙齿表面的微生物群,一般的洁牙和漱口水冲洗,不能去除。
 
02、牙结石
牙结石是指沉积在牙面上的矿化的菌斑,根据其沉积部位和性质分为龈上牙结石和龈下牙结石两种。 


 
龈上牙结石
 
位于龈缘以上的牙面上,肉眼可直接看到。在牙颈部沉积较多,特别是在大涎腺导管开口相对处,如上颌磨牙的颊侧和下颌前牙的舌侧沉积更多。龈上牙石中无机盐的主要来源是唾液中的钙、磷等矿物盐。 
 
 
龈下牙结石
 
位于龈缘以下、龈袋或牙周袋内的根面上,肉眼不能直视,必须去医院检查,方能知其沉积部位和沉积量。龈下牙石中无机盐的主要来源是龈沟液。牙石对牙周组织的危害,主要是构成了菌斑附着和细菌滋生的良好环境。 
 
03创伤性咬合
 
在咬合时,若咬合力过大或方向异常,超越了牙周组织所能承受的合力,致使牙周组织发生损伤的咬合,称为创伤性咬合。创伤性咬合包括咬合时的早接触、牙合干扰、夜间磨牙等。 
 
 
04其他
 
包括食物嵌塞、不良修复体、口呼吸等因素也促使牙周组织的炎症发生。
 
牙周炎的相关症状
 
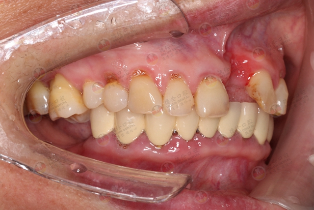
早期症状不明显,患者通常只有继发性的牙龈出血或口臭表现,与龈炎症状相似。检查可见龈缘、龈乳头和附着龈的肿胀、质松软,呈深红色或暗红色,探诊易出血。随着炎症的进一步扩散,出现下列症状: 
 
01、牙周袋形成
 
由于炎症的扩展,牙周膜被破坏,牙槽骨逐渐吸收,牙龈与牙根分离,使龈沟加深而形成牙周袋。可用探针测牙周袋深度。 
 
02、牙周溢脓 
 
牙周袋壁有溃疡及炎症性肉芽组织形成,袋内有脓性分泌物存留,故轻按牙龈,可见溢脓。并常有口臭。 
 
 
03牙齿松动 
 
由于牙周组织被破坏,特别是牙槽骨吸收加重时,支持牙齿力量不足,出现牙齿松动、移位等现象。患者常感咬合无力、钝痛,牙龈出血和口臭加重。 

 
机体抵抗力降低、牙周袋渗液引流不畅时,可形成牙周脓肿,是牙周炎发展到晚期出现牙周袋的一个常见伴发症状。
 
此时牙龈呈卵圆形突起,发红肿胀,表面光亮;牙齿松动度增加,有叩痛;患者伴有局部剧烈跳痛。同时,患者可有体温升高、全身不适,颌下淋巴结肿大、压痛等症状。
 
牙周炎怎么治疗
 
一.检查
 
X线检查有牙槽骨的水平型吸收。严重时出现牙齿松动和咬合关系紊乱。


 
二.治疗 
 
针对局部刺激因素 ,可作龈上洁治术或龈下刮治术,必要时调整咬合、消除食物嵌塞和纠正不良修复体等。 
 
 
牙周袋处理
 
牙周袋溢脓时,可用1%~3%过氧化氢液冲洗,袋内置10%碘合剂或螺旋霉素、灭滴灵等药膜。较深的牙周袋需作牙周手术,以消除牙周炎。牙周袋深达根尖、牙齿松动明显时,可考虑拔除。 
 
牙齿松动固定
 
牙齿仍松动者,可作暂时性或永久性的牙周夹板以固定松动的牙齿。 


 
牙周脓肿的处理 
 
脓肿已局限时,可切开引流。牙周袋也应同时作冲洗、上药膜或碘甘油等。 
 
全身治疗 
 
增强自身顶抗力,积极治疗牙周炎相关系统性疾病。发生牙周脓肿时,全身反应较重的患者,应口服有关抗菌药物。 
 
牙周炎如何预防
 
增强自身抵抗力,减少全身性疾病,从而增强牙周组织的抗病能力;


 
保持口腔清洁卫生,杜绝对牙周组织不良的坏习惯(抽烟、喝酒、单侧咀嚼等);
 
定期做口腔检查,及时预防和治疗。


 
其实,牙周炎本身不可怕,可怕的是你不重视。如果能做到定期进行口腔检查,那么就可以及时发现牙周问题,并且采取相对的治疗措施,将牙周炎扼杀在摇篮里。

如果您还有其它问题,可以在线咨询德伦口腔专家为您解答相关口腔问题,您也可以拨打全国热线电话 020-83782905 咨询,德伦口腔专家会竭尽所能的帮助您。在线咨询德伦口腔专家>>>

热点推荐

Recommended

• 刷牙老出血?警惕是患有牙周病!
• 牙周病的主要症状表现有哪些?
• 口臭?牙龈出血?牙周病的危害超乎
• 平时牙不疼,为啥会有牙周炎?
• 牙龈长包,除了上火,你还需要知
• 牙周病的四招预防大法
• 牙龈反复红肿出血?警惕牙周病
• 牙龈出血该怎样治疗?
  • 上一篇:为什么牙周病容易被人忽视?如何远离牙周病?
  • 下一篇:牙周病该怎么治疗?
返回列表

分享至

  • 诊疗项目
  • 关于德伦
  • 人才招聘
  • 连锁分院

预约/咨询热线
020-83782905
营业时间:9:00-18:00
全年365天无休,节假日照常值班

口腔种植 牙齿矫正 舒适儿牙 牙齿修复 牙体牙髓 口腔保健
德伦品牌 学术研究 新闻动态 公益事业 环境设备 视频中心
加入我们
  • 德伦首页
  • 德伦品牌
  • 牙科项目
  • 专家团队
  • 儿童口腔
  • 爱牙工程
  • 德伦环境
  • 分院导航

您的位置: > 口腔内科 > 牙周科 > 刷牙出血 >

关于牙周炎的相关知识,你一定要知道
2023-07-27 15:25来源:德伦口腔点击:次
牙周炎主要是由局部因素引起的牙周支持组织的慢性炎症。如果牙龈炎没有及时治疗,炎症可由牙龈向深层扩散到牙周膜、牙槽骨和牙骨质而发展为牙周炎。
 

 
牙周炎早期多没用明显症状,因此易被忽视。等到发现时,已经比较严重,甚至必须拔牙。因此,为了预防牙周炎,小德给大家普及下牙周炎的相关知识。
 
导致牙周炎的原因?
 
01、菌斑
粘附于牙齿表面的微生物群,一般的洁牙和漱口水冲洗,不能去除。
 
02、牙结石
牙结石是指沉积在牙面上的矿化的菌斑,根据其沉积部位和性质分为龈上牙结石和龈下牙结石两种。 


 
龈上牙结石
 
位于龈缘以上的牙面上,肉眼可直接看到。在牙颈部沉积较多,特别是在大涎腺导管开口相对处,如上颌磨牙的颊侧和下颌前牙的舌侧沉积更多。龈上牙石中无机盐的主要来源是唾液中的钙、磷等矿物盐。 
 
 
龈下牙结石
 
位于龈缘以下、龈袋或牙周袋内的根面上,肉眼不能直视,必须去医院检查,方能知其沉积部位和沉积量。龈下牙石中无机盐的主要来源是龈沟液。牙石对牙周组织的危害,主要是构成了菌斑附着和细菌滋生的良好环境。 
 
03创伤性咬合
 
在咬合时,若咬合力过大或方向异常,超越了牙周组织所能承受的合力,致使牙周组织发生损伤的咬合,称为创伤性咬合。创伤性咬合包括咬合时的早接触、牙合干扰、夜间磨牙等。 
 
 
04其他
 
包括食物嵌塞、不良修复体、口呼吸等因素也促使牙周组织的炎症发生。
 
牙周炎的相关症状
 
早期症状不明显,患者通常只有继发性的牙龈出血或口臭表现,与龈炎症状相似。检查可见龈缘、龈乳头和附着龈的肿胀、质松软,呈深红色或暗红色,探诊易出血。随着炎症的进一步扩散,出现下列症状: 
 
01、牙周袋形成
 
由于炎症的扩展,牙周膜被破坏,牙槽骨逐渐吸收,牙龈与牙根分离,使龈沟加深而形成牙周袋。可用探针测牙周袋深度。 
 
02、牙周溢脓 
 
牙周袋壁有溃疡及炎症性肉芽组织形成,袋内有脓性分泌物存留,故轻按牙龈,可见溢脓。并常有口臭。 
 
 
03牙齿松动 
 
由于牙周组织被破坏,特别是牙槽骨吸收加重时,支持牙齿力量不足,出现牙齿松动、移位等现象。患者常感咬合无力、钝痛,牙龈出血和口臭加重。 

 
机体抵抗力降低、牙周袋渗液引流不畅时,可形成牙周脓肿,是牙周炎发展到晚期出现牙周袋的一个常见伴发症状。
 
此时牙龈呈卵圆形突起,发红肿胀,表面光亮;牙齿松动度增加,有叩痛;患者伴有局部剧烈跳痛。同时,患者可有体温升高、全身不适,颌下淋巴结肿大、压痛等症状。
 
牙周炎怎么治疗
 
一.检查
 
X线检查有牙槽骨的水平型吸收。严重时出现牙齿松动和咬合关系紊乱。


 
二.治疗 
 
针对局部刺激因素 ,可作龈上洁治术或龈下刮治术,必要时调整咬合、消除食物嵌塞和纠正不良修复体等。 
 
 
牙周袋处理
 
牙周袋溢脓时,可用1%~3%过氧化氢液冲洗,袋内置10%碘合剂或螺旋霉素、灭滴灵等药膜。较深的牙周袋需作牙周手术,以消除牙周炎。牙周袋深达根尖、牙齿松动明显时,可考虑拔除。 
 
牙齿松动固定
 
牙齿仍松动者,可作暂时性或永久性的牙周夹板以固定松动的牙齿。 


 
牙周脓肿的处理 
 
脓肿已局限时,可切开引流。牙周袋也应同时作冲洗、上药膜或碘甘油等。 
 
全身治疗 
 
增强自身顶抗力,积极治疗牙周炎相关系统性疾病。发生牙周脓肿时,全身反应较重的患者,应口服有关抗菌药物。 
 
牙周炎如何预防
 
增强自身抵抗力,减少全身性疾病,从而增强牙周组织的抗病能力;


 
保持口腔清洁卫生,杜绝对牙周组织不良的坏习惯(抽烟、喝酒、单侧咀嚼等);
 
定期做口腔检查,及时预防和治疗。


 
其实,牙周炎本身不可怕,可怕的是你不重视。如果能做到定期进行口腔检查,那么就可以及时发现牙周问题,并且采取相对的治疗措施,将牙周炎扼杀在摇篮里。

如果您还有其它问题,可以在线咨询德伦口腔专家为您解答相关口腔问题,您也可以拨打全国热线电话 020-83782905 咨询,德伦口腔专家会竭尽所能的帮助您。在线咨询德伦口腔专家>>>
牙齿问题在线咨询 020-8378 2905

网上自助挂号

患者
须知

贯彻国家卫生部新医改政策,严格落实解决挂号难、看病难问题,开展网络自助预约挂号服务。

选择科室*

  • 种植科
  • 正畸科
  • 综合牙科
  • 儿童齿科

选择年龄*

  • 18岁以下
  • 18-30岁
  • 30-50岁
  • 50岁以上

口腔连锁品牌

  • 首页
  • 项目
  • 顶部

专家预约热线:020-8378 2905
本网站信息仅供参考,不能作为诊疗及医疗依据
广州德伦口腔 粤ICP备11073526号