德伦口腔:让全民拥有一口健康好牙

020-83782905关注我们:

  • 首 页
  • 关于德伦
    德伦品牌
    学术科研
    公益事业
    环境设备
  • 专家团队
  • 在线挂号
  • 加入我们
  • English

您的位置: > 口腔内科 > 牙周科 > 牙龈萎缩 >

牙周病的十大症状帮你识破!

发表于:2024-09-03 来源:德伦口腔 编辑:徐编 点击:次

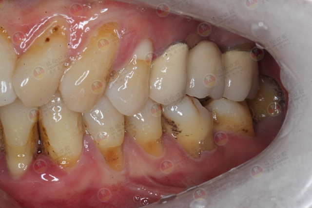
牙周炎是导致成年人牙齿丧失的主要原因之一。牙周病是指发生在牙周支持组织的一组疾病,主要是炎症性疾病,比如我们熟悉的牙龈炎和牙周炎。前者炎症只波及牙龈组织,而后者还会有炎症导致的牙槽骨破坏。


 
牙周病像一个真正的隐者,行走于市井之上,却不被人们察觉。它凭借“刷牙出血是刷牙引起的”“上火牙才肿”“牙痛不是病”“老掉牙”“洗牙对牙齿有害”等流言,成功地转移了人们的视线,逃避了人们对它的干预。
 
牙周病的十大症状
 
牙周病隐匿很深,如何慧眼识破牙周病?留心以下十大症状:
 
1、刷牙出血
 
如果是健康牙龈,刷牙不会出血。刷牙出血是反映牙龈炎症早期的警示信号。即便刷牙出血时有时无,又可以自行停止,依然提示你“狼来了”。牙龈出血还可以表现为咀嚼硬物出血或晨起第一口唾液呈咖啡色。

 

 
2、牙龈红肿
 
健康的牙龈呈粉红色。当照镜子发现牙龈变为鲜红色或暗红色时,则提醒你牙龈出现了问题。


 
3、牙龈反复肿痛
 
“上火了走牙”说明牙周病已潜伏下来。健康的牙龈,不会被“上火”光顾。
 
4、牙齿变长、牙缝变大
 
在炎症的作用下,牙周组织被破坏,类似树根的“周围土壤”出现了流失,导致牙根裸露,牙齿变长,牙缝变大。
 

 
5、食物嵌塞
 
导致食物嵌塞的因素很多,牙周组织破坏导致的牙缝变大是原因之一。
 
6、牙齿遇冷、热敏感
 
牙根外露是导致牙齿遇冷、热敏感的原因之一。另外,根面上未及时清除的菌斑可产生酸性物质,会加重牙齿敏感。


 
7、口气重
 
引起口气重的原因很多,有些人经过牙周治疗可缓解。
 
8、牙齿移位
 
随着年龄的增加,许多人会感觉“牙齿变形了”。实际上,这是牙周组织无法支撑牙齿保持在原来位置的结果。
 
9、牙齿松动
 
多数是牙周组织被破坏到一定程度而出现的牙齿松动症状。天然牙松动不意味着一定要拔除,有的经过系统的治疗,松动是可以缓解的。有人热衷于寻求松动牙齿的固定办法,但松动牙齿的固定是有条件的,一般多用于下前牙,而且要在系统治疗牙周后才加以考虑。仅仅依靠固定来保留牙齿的想法不太现实,一些不规范的操作虽然可以暂时遂你所愿,但后患无穷。

 

 
10、牙齿脱落
 
前面提到过,牙周病是导致我国成年人牙齿丧失的主要原因。
 
许多人看牙不是发现症状、马上就诊,而是牙周病发展到了不得不看的地步才去就诊。而这时的牙周病往往已到中、晚期,治疗周期长、费用高、疗效差。因此,我们强调定期检查,早期治疗。

 
防控牙周病的途径
 
口腔是细菌高度聚集的区域。口腔内的细菌会不断沉积在牙齿表面,形成由球菌、杆菌、螺旋体等细菌组成的团伙——菌斑生物膜。针对菌斑生物膜内的细菌及其毒性产物,机体产生的免疫反应会加重牙周组织的破坏。


 
牙周病是菌斑生物膜和宿主免疫反应两者综合作用的结果。菌斑生物膜内的细菌好似手枪的扳机,而宿主免疫反应则是造成牙周组织破坏的子弹。当前的医疗水平尚不具备调控宿主免疫反应的能力,控制菌斑生物膜成为防控牙周病可行的途径。
 
菌斑不断在牙面沉积,若不被及时清除,就会被唾液中的矿物质钙化,形成牙结石。因此,牙周的防治围绕控制或清除菌斑生物膜和牙石展开:通过机械方法清除菌斑生物膜和牙石,消除增加菌斑生物膜沉积的因素,建立有利于控制菌斑生物膜的环境。


 
清除菌斑生物膜和牙石的牙周治疗是一个系统过程,需依据病情的严重程度开展由浅入深的治疗,主要内容包括:龈上洁治(洗牙)、龈下刮治/根面平整、牙周手术。由于菌斑生物膜是不断形成的,因此,牙周治疗不能一劳永逸。经过牙周系统治疗后,也要定期复查维护。


 
有人可能会问:“我每天刷两次牙,经常使用牙线,饮食也健康,为什么还是得了牙周病?”
 
首先,要看刷牙方法是否正确,刷牙是否到位。有人刷了一辈子牙,方法一直是错的,没有起到清除菌斑生物膜的作用。比如:只刷牙齿的外侧面,舌侧面不刷;刷牙只刷牙齿,牙齿、牙龈的交界处没有被重点涉及。其次,只做到正确刷牙和使用牙线还不够。再认真的自我清洁也会有遗漏和照顾不到的地方,定期检查和龈上洁治也十分必要。

如果您还有其它问题,可以在线咨询德伦口腔专家为您解答相关口腔问题,您也可以拨打全国热线电话 020-83782905 咨询,德伦口腔专家会竭尽所能的帮助您。在线咨询德伦专家>>>

热点推荐

Recommended

• 成年后,牙齿越长越“长”?警惕
• 牙齿越长越长是怎么回事?
• 90%成年人患有牙周病,你的牙齿
• 为什么年纪轻轻就开始掉牙了?
• 牙齿为什么越来越长了?
• 牙龈萎缩了,还能做种植牙吗?
• 当牙齿出现“黑三角”怎么办?可
• 我的牙龈萎缩了,能再恢复吗?
  • 上一篇:各种牙齿问题中,让人头疼的竟是它?
  • 下一篇:牙龈萎缩的表现有哪些?
返回列表

分享至

  • 诊疗项目
  • 关于德伦
  • 人才招聘
  • 连锁分院

预约/咨询热线
020-83782905
营业时间:9:00-18:00
全年365天无休,节假日照常值班

口腔种植 牙齿矫正 舒适儿牙 牙齿修复 牙体牙髓 口腔保健
德伦品牌 学术研究 新闻动态 公益事业 环境设备 视频中心
加入我们
  • 德伦首页
  • 德伦品牌
  • 牙科项目
  • 专家团队
  • 儿童口腔
  • 爱牙工程
  • 德伦环境
  • 分院导航

您的位置: > 口腔内科 > 牙周科 > 牙龈萎缩 >

牙周病的十大症状帮你识破!
2024-09-03 16:30来源:德伦口腔点击:次
牙周炎是导致成年人牙齿丧失的主要原因之一。牙周病是指发生在牙周支持组织的一组疾病,主要是炎症性疾病,比如我们熟悉的牙龈炎和牙周炎。前者炎症只波及牙龈组织,而后者还会有炎症导致的牙槽骨破坏。


 
牙周病像一个真正的隐者,行走于市井之上,却不被人们察觉。它凭借“刷牙出血是刷牙引起的”“上火牙才肿”“牙痛不是病”“老掉牙”“洗牙对牙齿有害”等流言,成功地转移了人们的视线,逃避了人们对它的干预。
 
牙周病的十大症状
 
牙周病隐匿很深,如何慧眼识破牙周病?留心以下十大症状:
 
1、刷牙出血
 
如果是健康牙龈,刷牙不会出血。刷牙出血是反映牙龈炎症早期的警示信号。即便刷牙出血时有时无,又可以自行停止,依然提示你“狼来了”。牙龈出血还可以表现为咀嚼硬物出血或晨起第一口唾液呈咖啡色。

 

 
2、牙龈红肿
 
健康的牙龈呈粉红色。当照镜子发现牙龈变为鲜红色或暗红色时,则提醒你牙龈出现了问题。


 
3、牙龈反复肿痛
 
“上火了走牙”说明牙周病已潜伏下来。健康的牙龈,不会被“上火”光顾。
 
4、牙齿变长、牙缝变大
 
在炎症的作用下,牙周组织被破坏,类似树根的“周围土壤”出现了流失,导致牙根裸露,牙齿变长,牙缝变大。
 

 
5、食物嵌塞
 
导致食物嵌塞的因素很多,牙周组织破坏导致的牙缝变大是原因之一。
 
6、牙齿遇冷、热敏感
 
牙根外露是导致牙齿遇冷、热敏感的原因之一。另外,根面上未及时清除的菌斑可产生酸性物质,会加重牙齿敏感。


 
7、口气重
 
引起口气重的原因很多,有些人经过牙周治疗可缓解。
 
8、牙齿移位
 
随着年龄的增加,许多人会感觉“牙齿变形了”。实际上,这是牙周组织无法支撑牙齿保持在原来位置的结果。
 
9、牙齿松动
 
多数是牙周组织被破坏到一定程度而出现的牙齿松动症状。天然牙松动不意味着一定要拔除,有的经过系统的治疗,松动是可以缓解的。有人热衷于寻求松动牙齿的固定办法,但松动牙齿的固定是有条件的,一般多用于下前牙,而且要在系统治疗牙周后才加以考虑。仅仅依靠固定来保留牙齿的想法不太现实,一些不规范的操作虽然可以暂时遂你所愿,但后患无穷。

 

 
10、牙齿脱落
 
前面提到过,牙周病是导致我国成年人牙齿丧失的主要原因。
 
许多人看牙不是发现症状、马上就诊,而是牙周病发展到了不得不看的地步才去就诊。而这时的牙周病往往已到中、晚期,治疗周期长、费用高、疗效差。因此,我们强调定期检查,早期治疗。

 
防控牙周病的途径
 
口腔是细菌高度聚集的区域。口腔内的细菌会不断沉积在牙齿表面,形成由球菌、杆菌、螺旋体等细菌组成的团伙——菌斑生物膜。针对菌斑生物膜内的细菌及其毒性产物,机体产生的免疫反应会加重牙周组织的破坏。


 
牙周病是菌斑生物膜和宿主免疫反应两者综合作用的结果。菌斑生物膜内的细菌好似手枪的扳机,而宿主免疫反应则是造成牙周组织破坏的子弹。当前的医疗水平尚不具备调控宿主免疫反应的能力,控制菌斑生物膜成为防控牙周病可行的途径。
 
菌斑不断在牙面沉积,若不被及时清除,就会被唾液中的矿物质钙化,形成牙结石。因此,牙周的防治围绕控制或清除菌斑生物膜和牙石展开:通过机械方法清除菌斑生物膜和牙石,消除增加菌斑生物膜沉积的因素,建立有利于控制菌斑生物膜的环境。


 
清除菌斑生物膜和牙石的牙周治疗是一个系统过程,需依据病情的严重程度开展由浅入深的治疗,主要内容包括:龈上洁治(洗牙)、龈下刮治/根面平整、牙周手术。由于菌斑生物膜是不断形成的,因此,牙周治疗不能一劳永逸。经过牙周系统治疗后,也要定期复查维护。


 
有人可能会问:“我每天刷两次牙,经常使用牙线,饮食也健康,为什么还是得了牙周病?”
 
首先,要看刷牙方法是否正确,刷牙是否到位。有人刷了一辈子牙,方法一直是错的,没有起到清除菌斑生物膜的作用。比如:只刷牙齿的外侧面,舌侧面不刷;刷牙只刷牙齿,牙齿、牙龈的交界处没有被重点涉及。其次,只做到正确刷牙和使用牙线还不够。再认真的自我清洁也会有遗漏和照顾不到的地方,定期检查和龈上洁治也十分必要。

如果您还有其它问题,可以在线咨询德伦口腔专家为您解答相关口腔问题,您也可以拨打全国热线电话 020-83782905 咨询,德伦口腔专家会竭尽所能的帮助您。在线咨询德伦专家>>>
牙齿问题在线咨询 020-8378 2905

网上自助挂号

患者
须知

贯彻国家卫生部新医改政策,严格落实解决挂号难、看病难问题,开展网络自助预约挂号服务。

选择科室*

  • 种植科
  • 正畸科
  • 综合牙科
  • 儿童齿科

选择年龄*

  • 18岁以下
  • 18-30岁
  • 30-50岁
  • 50岁以上

口腔连锁品牌

  • 首页
  • 项目
  • 顶部

专家预约热线:020-8378 2905
本网站信息仅供参考,不能作为诊疗及医疗依据
广州德伦口腔 粤ICP备11073526号