过小牙的临床表现有哪些?不治疗会有危害吗?
发表于:2022-09-18 来源:德伦口腔 编辑:刘编 点击:次

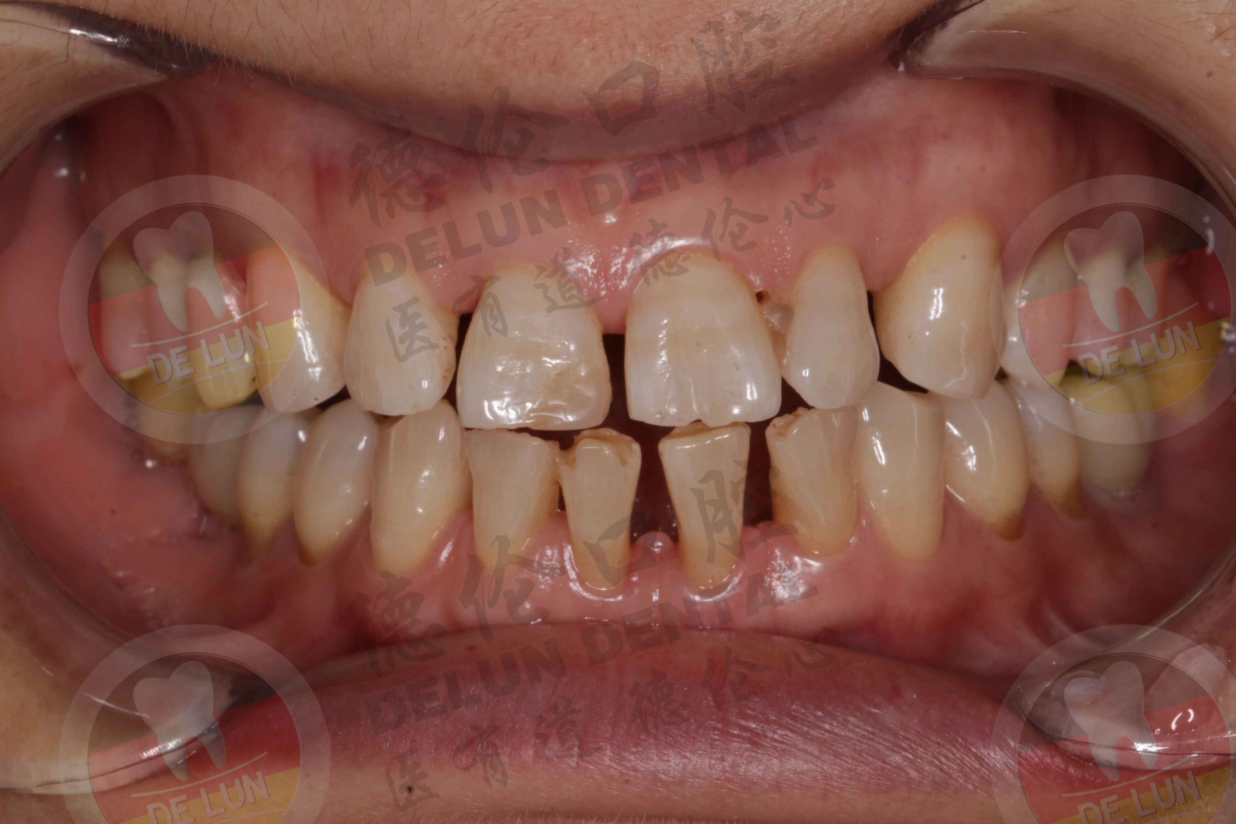
过小牙临床具体表现:
过小牙的体积较正常牙显著过小,与邻牙之间有间隙,但钙化正常。个别牙过小多见于上颌侧切牙和上颌第三磨牙。额外牙也常呈锥形小牙。若为综合征的一种表现,除某些牙齿过小之外,还有口腔或全身的其他异常现象。查看更多德伦口腔过小牙真实案例>>>
过小牙不治疗会有哪些危害?
1.过小牙会影响一个人的容貌、气质。其不仅对唇型、脸型会产生影响,而且会让人因为牙齿排列不整齐而表现得不够自信,不仅不敢笑,就连说话也得遮遮掩掩。
2.过小牙的牙面凹凸不平、牙与牙之间的不良接触关系,形成了不易清洁区,很容易滞留牙菌斑、食物残渣。从而导致牙龈炎、牙结石、牙面色素沉着、口臭、龋坏等口腔疾病。
过小牙怎么治疗?
德伦口腔引进牙齿美容修复技术对老鼠牙、龅牙、虎牙、牙齿不齐、畸形牙以及色素牙,快捷矫正修复。德伦口腔所采用的牙齿美学修复术结合了DSD数码微笑美学设计技术和瓷睿刻修复技术两大科技,运用美学理念,对牙齿色泽、质感、宽度比例、微笑曲线进行准确分析与设计,并通过3D打印技术制作出牙齿的全瓷修复体、全冠、贴面,让患者轻松恢复自信亮丽笑容。查看更多德伦口腔修复科治疗案例>>>


过小牙临床具体表现:
过小牙的体积较正常牙显著过小,与邻牙之间有间隙,但钙化正常。个别牙过小多见于上颌侧切牙和上颌第三磨牙。额外牙也常呈锥形小牙。若为综合征的一种表现,除某些牙齿过小之外,还有口腔或全身的其他异常现象。查看更多德伦口腔过小牙真实案例>>>
过小牙不治疗会有哪些危害?
1.过小牙会影响一个人的容貌、气质。其不仅对唇型、脸型会产生影响,而且会让人因为牙齿排列不整齐而表现得不够自信,不仅不敢笑,就连说话也得遮遮掩掩。
2.过小牙的牙面凹凸不平、牙与牙之间的不良接触关系,形成了不易清洁区,很容易滞留牙菌斑、食物残渣。从而导致牙龈炎、牙结石、牙面色素沉着、口臭、龋坏等口腔疾病。
过小牙怎么治疗?
德伦口腔引进牙齿美容修复技术对老鼠牙、龅牙、虎牙、牙齿不齐、畸形牙以及色素牙,快捷矫正修复。德伦口腔所采用的牙齿美学修复术结合了DSD数码微笑美学设计技术和瓷睿刻修复技术两大科技,运用美学理念,对牙齿色泽、质感、宽度比例、微笑曲线进行准确分析与设计,并通过3D打印技术制作出牙齿的全瓷修复体、全冠、贴面,让患者轻松恢复自信亮丽笑容。查看更多德伦口腔修复科治疗案例>>>

牙齿问题在线咨询
020-8378 2905
网上自助挂号
患者
须知
贯彻国家卫生部新医改政策,严格落实解决挂号难、看病难问题,开展网络自助预约挂号服务。

口腔连锁品牌