德伦口腔:让全民拥有一口健康好牙

020-83782905关注我们:

  • 首 页
  • 关于德伦
    德伦品牌
    学术科研
    公益事业
    环境设备
  • 专家团队
  • 在线挂号
  • 加入我们
  • English

您的位置: > 牙齿美容修复中心 > 黄牙 >

黄牙逆袭!牙齿美白的正确打开方式

发表于:2024-10-04 来源:德伦口腔 编辑:刘编 点击:次

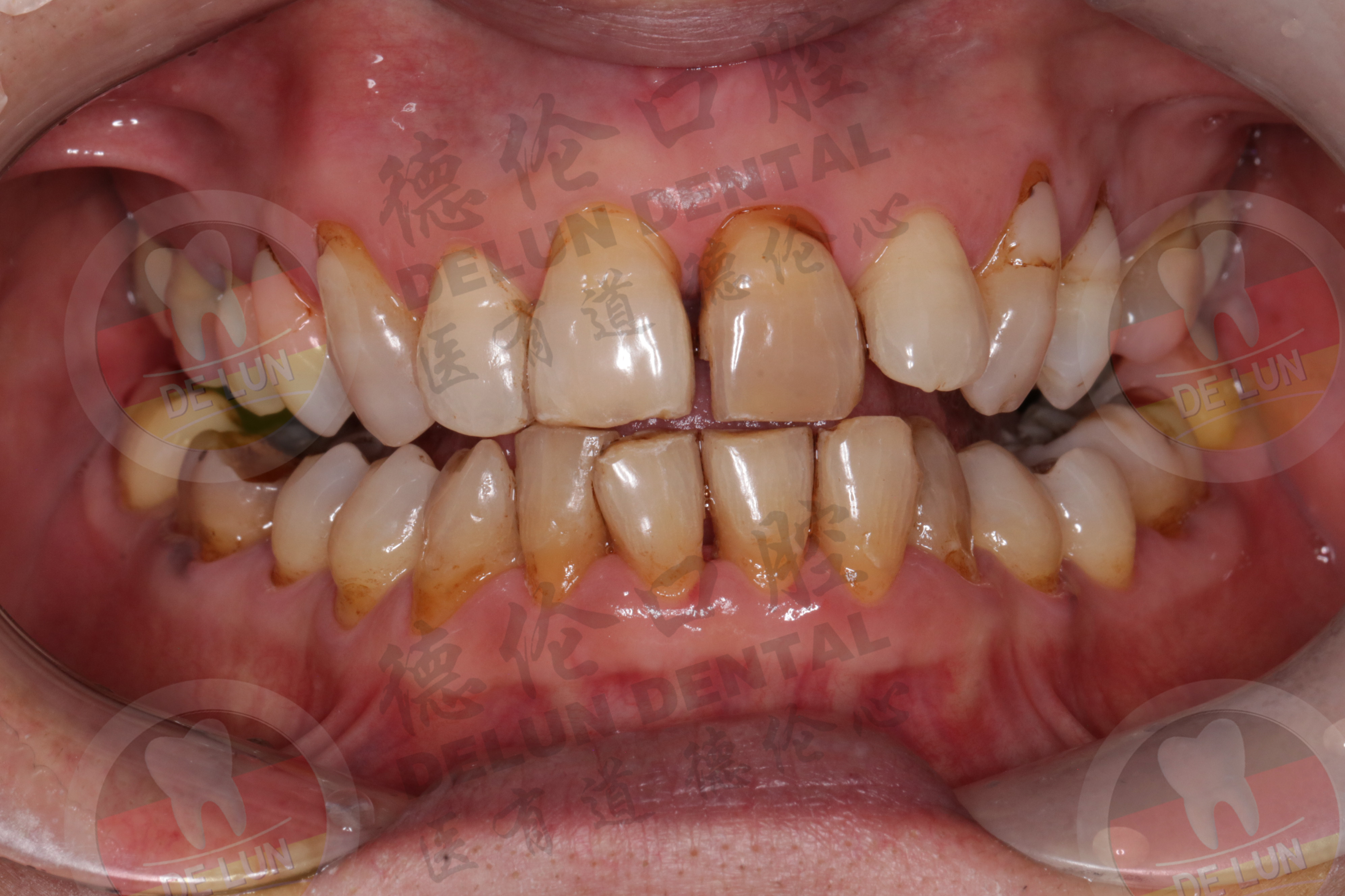
牙齿其实是由牙釉质、牙本质、牙骨质和牙髓4个部分组成。其中可能对牙齿颜色产生影响的,主要是牙釉质和牙本质。牙本质呈淡黄色,而牙釉质则是乳白色半透明的物质。我们看到的牙齿颜色,其实都是牙釉质和牙本质共同作用的结果。

 
牙齿为什么会变黄?
 
导致牙齿变黄的因素有很多,可简单分为【外源性着色】和【内源性着色】,简单来说就是衣服脏了变成了黑色和衣服本身就是黑色的区别。这两种性质不同的牙齿着色,其美白方式并不相同。
 
1.外源性着色  
 
指牙齿经常接触烟草、浓茶、咖啡、奶茶、可乐、酱油、红酒、槟榔等物质,其中的色素成分在牙表面附着或深层浸润后,导致牙齿着色而看起来发黄。
 
2.内源性着色  
 
指的是牙齿发育过程中形成的牙本质颜色异常,如四环素牙,在我国70后人群中多见,主要是年少时因服用四环素族药物导致成年后牙齿变棕褐色;还有氟斑牙,有一些人小时候在饮用水高氟区生活,会形成失光泽的白垩色或棕黄色牙釉质;另外还有先天性牙本质发育不全的情况,或者根管治疗后的牙齿缺乏牙髓营养供应,都会导致牙齿本质颜色改变,这些都被分为内源性着色,相较于外源性着色,内源性着色的美白难度较大。

 
对于内源性和外源性着色,有对应不同的美白方式,如果选择的方法不合适,不仅没有效果甚至可能会过度伤牙哦!

牙齿美白的正确打开方式


1.超声波深层洁牙

超声波深层洁牙是利用超声波的高频震荡作用,360°深层清洁附着在牙齿表面、内侧、牙缝间的顽固牙菌斑与牙结石,定期洁牙,能够维护口腔卫生。
 
超声波洁牙适应证:牙结石,牙菌斑,烟渍,茶渍,牙龈炎,早期牙周病等
 
2.瓷玉雕牙贴面
 
瓷玉雕牙贴面是瓷玉雕系列产品中的一个类目,瓷玉雕技术是德伦口腔研发的专利技术,源自德国准确工艺,结合口腔生态学、运用DSD数字化笑容设计,准确定制每一颗牙齿的形态和色泽,由瓷雕大师亲手雕制,是明星美牙的皇牌之选。且瓷玉雕牙贴面可以薄至0.1mm,能够更微创、更美观、更少费时的解决茶渍牙问题,快捷拥有明星般洁白闪亮牙齿。
 
瓷玉雕牙贴面适应证:色素牙、大黄牙、中重度茶渍、氟斑牙、四环素牙 查看更多德伦口腔瓷玉雕贴面治疗案例>>>

 
3.红白美学牙齿美白
 
德伦口腔医学美白牙齿,由专业的牙齿美白医师通过美白设备在不伤害天然牙的基础上,对牙齿的色泽进行快捷美白的一种科学的美牙方式。美牙时会涂上含牙龈保护色的美白剂和激活剂释放美白因子快捷通过牙釉质到达牙本质,无需腐蚀牙齿,保留牙体组织。
 
红白美学牙齿美白适应症:黄牙、黑牙、烟渍牙、茶渍牙等 查看更多德伦口腔红白美学治疗案例>>>

 
如果您还有其它问题,可以在线咨询德伦口腔专家为您解答相关口腔问题,您也可以拨打全国热线电话 020-83782905 咨询,德伦口腔专家会竭尽所能的帮助您。

热点推荐

Recommended

• 牙黄牙黑怎么办?美牙攻略快收藏
• 牙齿变黄了,怎样美白?
• 满嘴黄牙如何变白?
• 牙齿发黄、牙缝大?贴面修复帮你
• 为什么天天刷牙,牙齿还是黄黄的
• 为什么牙齿变得越来越黄?变黄以
• 每天一杯咖啡,牙齿会有什么变化
• 刷牙力度越大越干净?牙齿越白?
  • 上一篇:牙齿越白越好?真正健康的牙齿是这个颜色...
  • 下一篇:牙缝太宽?牙齿黑黄?牙贴面还你整齐大白牙
返回列表

分享至

  • 诊疗项目
  • 关于德伦
  • 人才招聘
  • 连锁分院

预约/咨询热线
020-83782905
营业时间:9:00-18:00
全年365天无休,节假日照常值班

口腔种植 牙齿矫正 舒适儿牙 牙齿修复 牙体牙髓 口腔保健
德伦品牌 学术研究 新闻动态 公益事业 环境设备
加入我们
  • 德伦首页
  • 德伦品牌
  • 牙科项目
  • 专家团队
  • 儿童口腔
  • 爱牙工程
  • 德伦环境
  • 分院导航

您的位置: > 牙齿美容修复中心 > 黄牙 >

黄牙逆袭!牙齿美白的正确打开方式
2024-10-04 17:44来源:德伦口腔点击:次
牙齿其实是由牙釉质、牙本质、牙骨质和牙髓4个部分组成。其中可能对牙齿颜色产生影响的,主要是牙釉质和牙本质。牙本质呈淡黄色,而牙釉质则是乳白色半透明的物质。我们看到的牙齿颜色,其实都是牙釉质和牙本质共同作用的结果。

 
牙齿为什么会变黄?
 
导致牙齿变黄的因素有很多,可简单分为【外源性着色】和【内源性着色】,简单来说就是衣服脏了变成了黑色和衣服本身就是黑色的区别。这两种性质不同的牙齿着色,其美白方式并不相同。
 
1.外源性着色  
 
指牙齿经常接触烟草、浓茶、咖啡、奶茶、可乐、酱油、红酒、槟榔等物质,其中的色素成分在牙表面附着或深层浸润后,导致牙齿着色而看起来发黄。
 
2.内源性着色  
 
指的是牙齿发育过程中形成的牙本质颜色异常,如四环素牙,在我国70后人群中多见,主要是年少时因服用四环素族药物导致成年后牙齿变棕褐色;还有氟斑牙,有一些人小时候在饮用水高氟区生活,会形成失光泽的白垩色或棕黄色牙釉质;另外还有先天性牙本质发育不全的情况,或者根管治疗后的牙齿缺乏牙髓营养供应,都会导致牙齿本质颜色改变,这些都被分为内源性着色,相较于外源性着色,内源性着色的美白难度较大。

 
对于内源性和外源性着色,有对应不同的美白方式,如果选择的方法不合适,不仅没有效果甚至可能会过度伤牙哦!

牙齿美白的正确打开方式


1.超声波深层洁牙

超声波深层洁牙是利用超声波的高频震荡作用,360°深层清洁附着在牙齿表面、内侧、牙缝间的顽固牙菌斑与牙结石,定期洁牙,能够维护口腔卫生。
 
超声波洁牙适应证:牙结石,牙菌斑,烟渍,茶渍,牙龈炎,早期牙周病等
 
2.瓷玉雕牙贴面
 
瓷玉雕牙贴面是瓷玉雕系列产品中的一个类目,瓷玉雕技术是德伦口腔研发的专利技术,源自德国准确工艺,结合口腔生态学、运用DSD数字化笑容设计,准确定制每一颗牙齿的形态和色泽,由瓷雕大师亲手雕制,是明星美牙的皇牌之选。且瓷玉雕牙贴面可以薄至0.1mm,能够更微创、更美观、更少费时的解决茶渍牙问题,快捷拥有明星般洁白闪亮牙齿。
 
瓷玉雕牙贴面适应证:色素牙、大黄牙、中重度茶渍、氟斑牙、四环素牙 查看更多德伦口腔瓷玉雕贴面治疗案例>>>

 
3.红白美学牙齿美白
 
德伦口腔医学美白牙齿,由专业的牙齿美白医师通过美白设备在不伤害天然牙的基础上,对牙齿的色泽进行快捷美白的一种科学的美牙方式。美牙时会涂上含牙龈保护色的美白剂和激活剂释放美白因子快捷通过牙釉质到达牙本质,无需腐蚀牙齿,保留牙体组织。
 
红白美学牙齿美白适应症:黄牙、黑牙、烟渍牙、茶渍牙等 查看更多德伦口腔红白美学治疗案例>>>

 
如果您还有其它问题,可以在线咨询德伦口腔专家为您解答相关口腔问题,您也可以拨打全国热线电话 020-83782905 咨询,德伦口腔专家会竭尽所能的帮助您。
牙齿问题在线咨询 020-8378 2905

网上自助挂号

患者
须知

贯彻国家卫生部新医改政策,严格落实解决挂号难、看病难问题,开展网络自助预约挂号服务。

选择科室*

  • 种植科
  • 正畸科
  • 综合牙科
  • 儿童齿科

选择年龄*

  • 18岁以下
  • 18-30岁
  • 30-50岁
  • 50岁以上

口腔连锁品牌

  • 首页
  • 项目
  • 顶部

专家预约热线:020-8378 2905
本网站信息仅供参考,不能作为诊疗及医疗依据
广州德伦口腔 粤ICP备11073526号