德伦口腔:让全民拥有一口健康好牙

020-83782905关注我们:

当前位置: > 牙齿美容修复中心 > 牙缺损 >

导致牙齿缺损的原因有哪些?

发表于:2023-07-28 来源:德伦口腔 编辑:刘编辑 点击:

现代生活,越来越多的人出现了口腔问题,其中牙齿缺损是比较常见的一种。有些小伙伴会发现,牙齿明明没有受过外伤,怎么就突然缺了一大块了?!是什么原因造成的牙体缺损?对我们有什么危害吗?
 
牙齿缺损简单来说就是我们的牙齿外形和结构受到了不同程度的破坏、缺损或发育畸形,造成牙体形态、咬合和邻接关系的异常,它会影响牙髓和牙周组织甚至全身的健康,对咀嚼、发音和美观等也会产生不同程度的影响。
 
造成牙齿缺损的原因有哪些?
 
1、龋病
 
龋病也就是我们常说的虫牙,常常在牙齿上形成龋洞,如果不及时治疗,龋洞就会越变越大,越变越深,并累及牙神经,甚至引起根尖周病变。龋坏严重的,还会造成牙冠部分或全部破坏,形成残冠、残根。是造成牙体缺损常见的原因。
 
 
2、牙外伤
 
当我们的牙齿在受到意外撞击,或者在咬硬物时,就有可能发生折裂。除此之外,有失髓牙、隐裂牙等情况的人,由于牙齿的自身强度下降,所以即便是正常咬合力时也可能会造成牙齿折裂。
 
3、磨损
 
磨损表现为牙冠咬合面降低,会影响咀嚼功能,美观也会受到影响;通常是因为不良咀嚼习惯以及夜磨牙等原因造成的。
 
4、楔状缺损
 
常表现为尖牙、前磨牙唇、颊面的牙颈部楔形凹陷缺损。主要是由于用力横向刷牙,或者牙齿咬合力过大造成的。
 
5、酸蚀症
 
如果长时间过量饮用酸性饮料,或者有消化道反酸的情况,牙齿在长期受到酸的作用后,可能发生脱矿,从而容易发生牙齿硬组织的缺损。
 
6、发育畸形
 
牙发育畸形及发育异常是在牙发育和形成过程中出现形态、结构或颜色异常。如氟斑牙、四环素牙、过小牙等。
 
怎么预防牙齿缺损?
 
长期的牙齿缺损,会严重影响牙齿的咬合和咀嚼功能,导致患者出现营养不良的情况。牙齿缺损的部位容易残存食物残渣,引起口臭龋齿牙周炎等口腔疾病。牙齿缺损后还会影响我们的面容,使我们的发音变的不标准,影响社交活动。如果牙齿缺损长期不去修复,甚至会出现颞下颌关节紊乱的症状。
 
所以我们一定要保护好我们的牙齿如果已经发生了牙齿缺损的问题一定要及时对缺损的牙齿进行修复和治疗,一般来说可以做补牙、烤瓷牙、瓷贴面等。
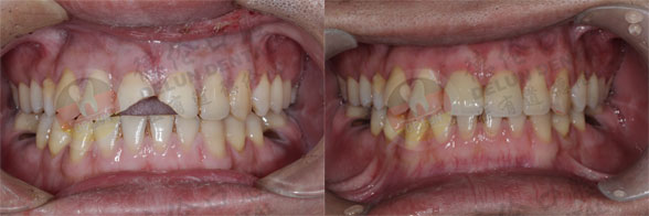
美容冠修复案例
查看更多德伦口腔美容冠修复案例>>>
 
平时也要做好预防措施,要养成良好的口腔卫生习惯,早晚刷牙,饭后漱口,可以采用巴氏刷牙法,多用含氟牙膏,平时可以经常用牙线、间隙刷、冲牙器等工具清除牙齿周围的食物残渣,预防龋齿的发生。
 
做过根管治疗的患牙,在正常咀嚼时可能会出现牙齿劈裂,建议给患牙进行冠修复,提高患牙存留率。日常生活中注意不要用牙齿咬瓶盖或者硬东西,还应该改变饮食习惯,避免大量进食过甜的食物和食酸性较强的食物。如果有夜磨牙等症状的人一定要及时进行纠正喔!

以上就是关于牙齿缺损的介绍,如果您还有其它问题,可以在线咨询德伦口腔专家为您解答相关口腔问题,您也可以拨打全国热线电话 020-83782905 咨询,德伦口腔专家会竭尽所能的帮助您。在线咨询其他口腔问题>>>
  • 诊疗项目
  • 关于德伦
  • 人才招聘
  • 连锁分院

预约/咨询热线
020-83782905
营业时间:9:00-18:00
全年365天无休,节假日照常值班