德伦口腔:让全民拥有一口健康好牙

020-83782905关注我们:

  • 首 页
  • 关于德伦
    德伦品牌
    学术科研
    公益事业
    环境设备
  • 专家团队
  • 在线挂号
  • 加入我们
  • English

您的位置: > 权威专家 >

苏琼 主治医师

发表于:2016-09-02 来源:德伦口腔 编辑:静雯 点击:次

  

  苏琼 主治医师
 
  ·德伦口腔牙体牙髓科医生
 
  ·中山大学口腔医学硕士
 
  ·牙体牙髓修复资深专家
 
  擅长项目:显微根管治疗,牙周疾病、儿童牙病的治疗及预防,微创舒适牙体美容修复
 
  临床经验:10年
 
  行医格言:将心比心,用我的爱心、诚心、细心,换您的舒心、放心、安心。
 
  简介:苏琼医师毕业于中山大学光华口腔医学院,获得口腔临床医学硕士学位,师从国内着名的口腔教授,多年三级口腔专科医院工作经验,接受全面系统的理论学习和规范化培训,技术精湛。在龋病,牙体硬组织的非龋性疾病以及牙髓病和根尖周病,牙周疾病,儿童牙病等方面积累了丰富的临床经验,工作严谨认真,注重自我完善,积极参加各种培训,不断提高自身医疗素质;在牙体牙髓修复治疗方面有较多的经验与心得,尤其在显微根管治疗及舒适微创牙体美容修复(树脂和瓷嵌体)方面有较高的造诣。
 
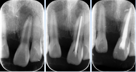
  苏琼医师经典案例:
 

根管垂直加压充填
 


反复瘘管根管再治疗

 

热点推荐

Recommended

• 德伦口腔花地广百分院全科医生:
• 德伦番禺市桥分院正畸兼全科医生
• 德伦口腔车陂分院全科医生:庞宏
• 德伦口腔容桂分院种植兼全科医生
• 德伦口腔惠州总院技术院长:李智
• 德伦口腔惠州总院全科医生:张安
• 德伦口腔惠州总院正畸医生:马锐
• 德伦口腔惠州总院全科医生:周春
  • 上一篇:陈运红 牙体牙髓科主治医生
  • 下一篇:德伦口腔资深修复专家--倪静娥 主治医师
返回列表

分享至

  • 诊疗项目
  • 关于德伦
  • 人才招聘
  • 连锁分院

预约/咨询热线
020-83782905
营业时间:9:00-18:00
全年365天无休,节假日照常值班

口腔种植 牙齿矫正 舒适儿牙 牙齿修复 牙体牙髓 口腔保健
德伦品牌 学术研究 新闻动态 公益事业 环境设备 视频中心
加入我们
  • 德伦首页
  • 德伦品牌
  • 牙科项目
  • 专家团队
  • 儿童口腔
  • 爱牙工程
  • 德伦环境
  • 分院导航

您的位置: > 权威专家 >

苏琼 主治医师
2016-09-02 10:27来源:德伦口腔点击:次
  

  苏琼 主治医师
 
  ·德伦口腔牙体牙髓科医生
 
  ·中山大学口腔医学硕士
 
  ·牙体牙髓修复资深专家
 
  擅长项目:显微根管治疗,牙周疾病、儿童牙病的治疗及预防,微创舒适牙体美容修复
 
  临床经验:10年
 
  行医格言:将心比心,用我的爱心、诚心、细心,换您的舒心、放心、安心。
 
  简介:苏琼医师毕业于中山大学光华口腔医学院,获得口腔临床医学硕士学位,师从国内着名的口腔教授,多年三级口腔专科医院工作经验,接受全面系统的理论学习和规范化培训,技术精湛。在龋病,牙体硬组织的非龋性疾病以及牙髓病和根尖周病,牙周疾病,儿童牙病等方面积累了丰富的临床经验,工作严谨认真,注重自我完善,积极参加各种培训,不断提高自身医疗素质;在牙体牙髓修复治疗方面有较多的经验与心得,尤其在显微根管治疗及舒适微创牙体美容修复(树脂和瓷嵌体)方面有较高的造诣。
 
  苏琼医师经典案例:
 

根管垂直加压充填
 


反复瘘管根管再治疗

 
牙齿问题在线咨询 020-8378 2905

网上自助挂号

患者
须知

贯彻国家卫生部新医改政策,严格落实解决挂号难、看病难问题,开展网络自助预约挂号服务。

选择科室*

  • 种植科
  • 正畸科
  • 综合牙科
  • 儿童齿科

选择年龄*

  • 18岁以下
  • 18-30岁
  • 30-50岁
  • 50岁以上

口腔连锁品牌

  • 首页
  • 项目
  • 顶部

专家预约热线:020-8378 2905
本网站信息仅供参考,不能作为诊疗及医疗依据
广州德伦口腔 粤ICP备11073526号