我们常说自信的微笑来自健康的牙齿,种植牙是目前
牙齿缺失修复公认有效方案,帮助
缺牙人士恢复咀嚼功能,享受美食!那很多市民会有这样的疑问:如何才能保障种植牙的效果呢?下面我们采访了德伦口腔丁佳音医生,给大家介绍一下关于种植牙术前准备的问题。
记者:丁医生,你好,种植牙是目前公认好的缺牙修复方法,那么您在术前都有哪些准备呢?
丁佳音医生给我们总结了他术前准备的4大要点
全方位分析患者口腔情况
丁佳音医生:我在种植手术前会全面的分析和研究患者的X光片、全景CT片等,详细掌握患者口腔信息。因为实际临床操作和预期可能会产生偏差,预备多种方案并提前进行演练成为了我的工作习惯,为应对各种突发情况做准备。
种植牙专家联合会诊
丁佳音医生:我们的种植中心实行专家联合会诊制度,保障种植疑难案例的之后效果。针对疑难案例,会通过种植中心专家会诊,整合专家意见,务求用理性的方式为患者定制个性化的修复方案,贴合患者的实际需求,使患者获得更好的美牙效果和舒心医疗感受!
植牙效果好与坏,在于沟通与关怀
丁佳音医生:除了全方位研究患者的口腔情况之外,在术前准备的一个重要环节就是与患者的沟通,除了医生的专业意见之外,需要了解患者的需求,定制个性化的专属种植牙方案。倾听患者的故事也成为了我的习惯,所以很多患者甚至跟我成为了十多年的朋友,这种跟患者慢慢建立起来的信赖和友谊是让我满足的事情。
3D导板数字化种植牙技术,预知种植效果
丁佳音医生:数字化种植牙成为现今颇受患者欢迎的缺牙修复方法,是因为3D导板数字化种植牙技术有极健康,极准确,极,极快捷的优势,并且能术前能清晰的看到导板设计界面,并提前预知自己的带牙效果。患者提前知道了种牙效果,消除对未知的恐惧,对种植手术的配合程度也会大大提高。
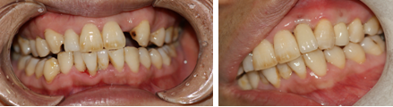
丁佳音医生完美术前准备造就经典案例

单颗牙缺失案例

全口牙缺失案例