时尚前沿美齿科技:瓷睿刻即刻修复专场分享会
发表于:2023-02-27 来源:德伦口腔 编辑:张编 点击:次
为了让更多的人了解美牙修复的途径和技术,德伦口腔特于7月17日举办瓷睿刻修复专场活动,邀德伦修复科主任崔巧明主讲,针对有牙缺损、牙齿龋坏、色素牙、牙釉质发育不全等牙齿问题患者进行全面分享。
瓷睿刻修复技术 美齿经典非它莫属

2016年德伦口腔斥资引进采用德国创新3D数码雕刻的瓷睿刻即刻修复技术,实现修复全程可预知、可观看、可参与,运用光学取像,电脑模拟设计方案,因只需一次就诊,当天即可完成牙齿的完美修复,成为众多商务人士牙齿修复美白的选择技术。
(适应症:牙齿龋坏、牙齿缺损、色素牙、烤瓷牙失败、牙釉质发育不全等)
修复专家美牙案例分享 专业解答你的疑惑
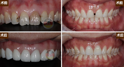
作为修复技术的娴熟操作者,10余年来在崔主任手上完成牙齿美容修复的的患者不计其数。这一次,崔主任也将他手上的典型案例进行分享。


不管你有多少关于瓷睿刻牙齿修复技术的疑问,诸如优势在哪?适应的症状又有哪些?费用如何、效果如何、有无修复失败可能等等。乐于分享的崔医生都会一一为您解答。
知名模特分享即刻美牙心得
现场不仅有崔主任主讲,更有真人热情分享。知名模特在崔医生帮助她完成美容修复后,形象更加美丽,人也变得更有自信了。这里你会看到,修复前后的对比差异,以及瓷睿刻技术的性。
高级香水导师手把手教您DIY香水
倡导健康与美,还不能落下品味。分享会之余,德伦口腔也为大家准备了香水DIY趣味活动,高级香水导师手把手指导你如何制作喜欢的香水,乐享轻松一刻。
“修复欢乐购”专场
抽奖可得:▶价值38美牙蜡模设计,
▶88元超声波洁牙;
优惠项目:▶全瓷牙冠或贴面;
▶单颗瓷睿刻一口价买1颗送1颗;
▶冷光美白特价体验,每人限体验1次;
【预约报名】还有更多惊喜等着你!
活动时间:2016年7月17日,14:00—16:00
为了让更多的人了解美牙修复的途径和技术,德伦口腔特于7月17日举办瓷睿刻修复专场活动,邀德伦修复科主任崔巧明主讲,针对有牙缺损、牙齿龋坏、色素牙、牙釉质发育不全等牙齿问题患者进行全面分享。
瓷睿刻修复技术 美齿经典非它莫属

2016年德伦口腔斥资引进采用德国创新3D数码雕刻的瓷睿刻即刻修复技术,实现修复全程可预知、可观看、可参与,运用光学取像,电脑模拟设计方案,因只需一次就诊,当天即可完成牙齿的完美修复,成为众多商务人士牙齿修复美白的选择技术。
(适应症:牙齿龋坏、牙齿缺损、色素牙、烤瓷牙失败、牙釉质发育不全等)
修复专家美牙案例分享 专业解答你的疑惑
作为修复技术的娴熟操作者,10余年来在崔主任手上完成牙齿美容修复的的患者不计其数。这一次,崔主任也将他手上的典型案例进行分享。


不管你有多少关于瓷睿刻牙齿修复技术的疑问,诸如优势在哪?适应的症状又有哪些?费用如何、效果如何、有无修复失败可能等等。乐于分享的崔医生都会一一为您解答。
知名模特分享即刻美牙心得
现场不仅有崔主任主讲,更有真人热情分享。知名模特在崔医生帮助她完成美容修复后,形象更加美丽,人也变得更有自信了。这里你会看到,修复前后的对比差异,以及瓷睿刻技术的性。
高级香水导师手把手教您DIY香水
倡导健康与美,还不能落下品味。分享会之余,德伦口腔也为大家准备了香水DIY趣味活动,高级香水导师手把手指导你如何制作喜欢的香水,乐享轻松一刻。
“修复欢乐购”专场
抽奖可得:▶价值38美牙蜡模设计,
▶88元超声波洁牙;
优惠项目:▶全瓷牙冠或贴面;
▶单颗瓷睿刻一口价买1颗送1颗;
▶冷光美白特价体验,每人限体验1次;
【预约报名】还有更多惊喜等着你!
活动时间:2016年7月17日,14:00—16:00
牙齿问题在线咨询
020-8378 2905
网上自助挂号
患者
须知
贯彻国家卫生部新医改政策,严格落实解决挂号难、看病难问题,开展网络自助预约挂号服务。

口腔连锁品牌