青少年矫治专场抢约丨两大正畸专家联合亲诊
发表于:2023-02-28 来源:德伦口腔 编辑:姜编 点击:次
人们总说:孩大十八变。很多孩子小时候都长得非常可爱讨喜,可是长大后却往一言难尽的方向发展,也是让人心痛不已。据“外贸协会”和“口腔医学会”联合研究得出,其实很多孩子“没长好”,牙齿畸形是一个很大的原因。
牙齿畸形使人变丑 勿错过矫治黄金期
大部分孩童到了6岁左右就会进入替牙期,这个时候因为乳牙滞留、龋齿、触碰牙床,不恰当的刷牙习惯,或饮食偏好,都很容易引发新生恒牙的长势偏离轨道。继而引起后续牙齿发生蝴蝶效应,长成一口非歪即龅、形态异常的畸形牙。
畸形牙不仅影响孩子的脸部下颌骨的生长,破坏整体颜值,更会让孩子产生自卑逃避等情绪。久而久之,没有自信都写在脸上,加上一口畸牙的不美观,整个人自然就与之前的美萌形象差之千里。

由于成年人生长发育已经基本完成,颌面部骨缝已变为骨性融合,可塑性较低,而且成年人代谢速度变慢,生物反应性降低,因此,牙槽骨改建比较缓慢,牙齿移动相对慢一些,需要的正畸治疗时间较长。所以,口腔专家提醒广大家长:切勿错过青少年矫治黄金期!11-15岁是青少年接受牙齿矫正的合适时期,因为这个年龄乳牙跟恒牙的替换基本已经完成,这个时候矫正不仅时间短,而且效果也是好的。
青少年专场矫治日 两大专家联合会诊
为呼吁羊城家庭重视儿童畸形牙问题并进行及早干预,让孩子重获灿烂笑容及和谐脸型,德伦口腔4月7日将开展青少年矫治技术专家会诊日,现正接受亲诊预约!
亲诊对象
牙列不齐、牙列拥挤、地包天、龅牙、上颌前凸、下颌后缩、牙列稀疏、深覆盖、深覆合等症状人群
亲诊时间
4月7日
亲诊地点
德伦口腔东风旗舰总院
(越秀区东风中路418号华以泰大厦一楼正畸中心)
报名方式
拨打热线020-83782905
本次会诊日邀请到德伦口腔集团正畸技术总监、SPEED自锁托槽矫治技术教父缪耀强教授,以及雅加达亚运会中国代表团口腔保障营特邀专家、无托槽隐形矫治认证专家邓毅医生为市民诊看各类畸形牙病症。
特邀专家:缪耀强

缪教授从事口腔临床工作已有36年,是原广东省口腔医院正畸科主任,多次赴美国、法国、台湾、香港、日本等地参加国际正畸研讨会。不仅掌握医疗技术,具有解决疑难重症的能力,且多次主持开展新技术新业务。作为第一作者,在国内外专业杂志发表论文30余篇,且被全球口腔正畸学界著名杂志J.Clin.Orthod发表。

SPEED托槽系一种主动自锁托槽,国内第一本关于SPEED自锁矫治器的专著——《SPEED矫治技术》为缪耀强教授所编著。该书是我国口腔正畸医师在使用方丝弓、直丝弓矫治器的基础上,学习掌握SPEED矫治技术的一本十分有益的参考书。缪耀强教授是第一个将SPEED技术引入国内并对其著书宣传的医生填补了当时国内没有自锁矫治技术的空白,让更多的正畸医生接触了解此技术。


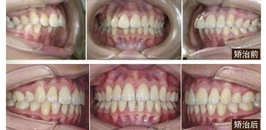
▲缪耀强教授矫治案例展示
特邀专家:邓毅
冠军隐形矫治认证

邓毅医生毕业于广州医科大学口腔医学院,南方医科大学正畸在职研究生。从事口腔临床工作10年余,曾赴广东省口腔医院进修,师从正畸名家,接受正畸专科培训,对正畸病例的设计、临床的操作熟练掌握。她理论知识扎实,临床操作质优快捷,责任心强,工作认真谨慎、严守医疗规则。积极参加国内外培训课程,认真学习矫正理念,取各种矫治方法优点应用于临床。

在第18届雅加达亚运会中,邓毅医生受邀担任第18届雅加达亚运会中国代表团时代天使口腔保障营专家,为中国运动健儿提供口腔保障服务,将德伦口腔严谨专业的服务带到世界体育场上。


▲邓医生矫治案例展示
不是所有矫牙 都叫塑颜正畸
在别的正畸机构还停留在把牙排整齐的时候,德伦口腔正畸科已经实现了另一个目标——塑颜正畸技术。
3步立即实现塑颜正畸
01 数字化诊断
采集口腔的三维影像数据,数字化专家进行诊断分析及治疗预测

02 数字化设计
进一步准确分析患者的骨骼情况和面部比例,结合三庭五眼、黄金比例,从脸型、气质等维度进行综合颜值提升。

03 数字化塑颜矫治
平均10余年经验和近30000成功案例专家团会诊

人们总说:孩大十八变。很多孩子小时候都长得非常可爱讨喜,可是长大后却往一言难尽的方向发展,也是让人心痛不已。据“外贸协会”和“口腔医学会”联合研究得出,其实很多孩子“没长好”,牙齿畸形是一个很大的原因。
牙齿畸形使人变丑 勿错过矫治黄金期
大部分孩童到了6岁左右就会进入替牙期,这个时候因为乳牙滞留、龋齿、触碰牙床,不恰当的刷牙习惯,或饮食偏好,都很容易引发新生恒牙的长势偏离轨道。继而引起后续牙齿发生蝴蝶效应,长成一口非歪即龅、形态异常的畸形牙。
畸形牙不仅影响孩子的脸部下颌骨的生长,破坏整体颜值,更会让孩子产生自卑逃避等情绪。久而久之,没有自信都写在脸上,加上一口畸牙的不美观,整个人自然就与之前的美萌形象差之千里。

由于成年人生长发育已经基本完成,颌面部骨缝已变为骨性融合,可塑性较低,而且成年人代谢速度变慢,生物反应性降低,因此,牙槽骨改建比较缓慢,牙齿移动相对慢一些,需要的正畸治疗时间较长。所以,口腔专家提醒广大家长:切勿错过青少年矫治黄金期!11-15岁是青少年接受牙齿矫正的合适时期,因为这个年龄乳牙跟恒牙的替换基本已经完成,这个时候矫正不仅时间短,而且效果也是好的。
青少年专场矫治日 两大专家联合会诊
为呼吁羊城家庭重视儿童畸形牙问题并进行及早干预,让孩子重获灿烂笑容及和谐脸型,德伦口腔4月7日将开展青少年矫治技术专家会诊日,现正接受亲诊预约!
亲诊对象
牙列不齐、牙列拥挤、地包天、龅牙、上颌前凸、下颌后缩、牙列稀疏、深覆盖、深覆合等症状人群
亲诊时间
4月7日
亲诊地点
德伦口腔东风旗舰总院
(越秀区东风中路418号华以泰大厦一楼正畸中心)
报名方式
拨打热线020-83782905
本次会诊日邀请到德伦口腔集团正畸技术总监、SPEED自锁托槽矫治技术教父缪耀强教授,以及雅加达亚运会中国代表团口腔保障营特邀专家、无托槽隐形矫治认证专家邓毅医生为市民诊看各类畸形牙病症。
特邀专家:缪耀强

缪教授从事口腔临床工作已有36年,是原广东省口腔医院正畸科主任,多次赴美国、法国、台湾、香港、日本等地参加国际正畸研讨会。不仅掌握医疗技术,具有解决疑难重症的能力,且多次主持开展新技术新业务。作为第一作者,在国内外专业杂志发表论文30余篇,且被全球口腔正畸学界著名杂志J.Clin.Orthod发表。

SPEED托槽系一种主动自锁托槽,国内第一本关于SPEED自锁矫治器的专著——《SPEED矫治技术》为缪耀强教授所编著。该书是我国口腔正畸医师在使用方丝弓、直丝弓矫治器的基础上,学习掌握SPEED矫治技术的一本十分有益的参考书。缪耀强教授是第一个将SPEED技术引入国内并对其著书宣传的医生填补了当时国内没有自锁矫治技术的空白,让更多的正畸医生接触了解此技术。


▲缪耀强教授矫治案例展示
特邀专家:邓毅
冠军隐形矫治认证

邓毅医生毕业于广州医科大学口腔医学院,南方医科大学正畸在职研究生。从事口腔临床工作10年余,曾赴广东省口腔医院进修,师从正畸名家,接受正畸专科培训,对正畸病例的设计、临床的操作熟练掌握。她理论知识扎实,临床操作质优快捷,责任心强,工作认真谨慎、严守医疗规则。积极参加国内外培训课程,认真学习矫正理念,取各种矫治方法优点应用于临床。

在第18届雅加达亚运会中,邓毅医生受邀担任第18届雅加达亚运会中国代表团时代天使口腔保障营专家,为中国运动健儿提供口腔保障服务,将德伦口腔严谨专业的服务带到世界体育场上。


▲邓医生矫治案例展示
不是所有矫牙 都叫塑颜正畸
在别的正畸机构还停留在把牙排整齐的时候,德伦口腔正畸科已经实现了另一个目标——塑颜正畸技术。
3步立即实现塑颜正畸
01 数字化诊断
采集口腔的三维影像数据,数字化专家进行诊断分析及治疗预测

02 数字化设计
进一步准确分析患者的骨骼情况和面部比例,结合三庭五眼、黄金比例,从脸型、气质等维度进行综合颜值提升。

03 数字化塑颜矫治
平均10余年经验和近30000成功案例专家团会诊

牙齿问题在线咨询
020-8378 2905
网上自助挂号
患者
须知
贯彻国家卫生部新医改政策,严格落实解决挂号难、看病难问题,开展网络自助预约挂号服务。

口腔连锁品牌