种牙好口碑丨锦旗赠仁医:崔保亮“胖手回春”
发表于:2022-09-01 来源:德伦口腔 编辑:徐编 点击:次
旗赠仁医,点滴医患情
近日,刘女士将绣有“胖手回春,治好了牙更治愈了我的恐惧”锦旗赠与德伦口腔区庄/燕塘旗舰院技术院长崔保亮,感激与欢乐之情瞬间满溢了整个诊室。

当前,牙齿缺失已成为比较常见的口腔问题之一,“人未老牙先掉”成为越来越多年轻人的尴尬。刘女士就是其中一个很好的例子,她因忽视龋齿的危害及恐惧看牙迟迟不就诊,之后导致多颗牙齿无法保留只能作拔除处理。
眼见自己的牙齿一天不如一天,2020年5月,刘女士来到德伦口腔区庄旗舰院,寻求崔保亮院长的帮助。经崔院长详细检查,刘女士多颗龋齿龋坏严重,即使做根管治疗也无法保留,只能作拔除处理,后做种植牙。

刘女士不解为何不能补牙,而需拔除。崔院长耐心向刘女士解释:“牙齿就像一棵大树,牙根就像树根,牙龈等牙齿周围的组织就像树根周围的泥土。如果出现龋齿,就意味着大树被虫蛀了,慢慢慢慢就会倒塌”。
崔院长说,作为一护人员,不但要做好诊疗治疗,还要做好心理治疗,“双管齐下”才能让患者配合医生的治疗并尽快获得康复。
崔院长缓解刘女士的精神压力,让刘女士直观了解到自身具体牙病状况,具体治疗方案细节是什么,消除刘女士的疑虑与恐惧心理,稳定刘女士情绪,并积极和刘女士进行交流,鼓励其坚持治疗,使其放松心情。之后,刘女士顺利完成治疗。

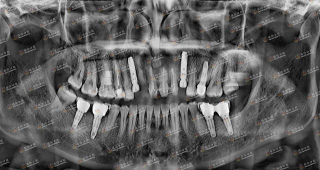
刘女士术后牙片
为感谢崔院长还她一口好牙梦,刘女士将锦旗赠与崔院。刘女士还调侃了一番崔院,称其“胖手回春”,崔院长笑嘻嘻接过锦旗,笑称自己以后会减肥的,诊间里充满了欢乐的笑声。这温情的时刻,深深印在德伦医护人员的心里。

刘女士重获一口好牙
一面锦旗饱含了患者的感激和敬意,这不仅仅是荣誉的象征,亦是一种认可和信任,更是一种鞭策。崔院长说:“只有站在患者的角度替他们考虑问题,帮他们解决问题,才能获得他们的信任。”
德伦口腔区庄/燕塘旗舰院技术院长崔保亮应中央广播电视总台中央新影《对话品牌》栏目组邀请前往北京出席访谈,对话知名主持人海霞。

答:德伦口腔一直恪守“专业严谨,精益求精”理念,不断追求专家、技术、设备、服务等各个方面的高度整合。我作为德伦口腔燕塘及区庄技术院长始终坚持以专业、严谨的态度服务广大市民,始终坚持用高行业标准来规范自身,关注每个细节、追求技术的完美。
每一位患者的诊疗方案,都有我们的医疗团队层层把关,通过数字化口腔诊疗技术,为市民提供专业的舒适的齿科服务。始终坚持“服务一次,关爱一生”的服务宗旨,做到以人为本,用优质的医疗服务惠及每一位百姓,努力做到医患亲如一家,让百姓获得满意的口腔诊疗服务。
如何保持德伦口腔的技术更好的服务客户?
答:这个要从几方面来说。从专家层面来说,德伦口腔如同一个强大磁场,不断吸引国际医疗人才加盟,德伦口腔专家团队拥有“三高”——高资历、高准入门槛、高临床经验。
近百名专业医生,两百余名优秀护士,绝大部分医护人员都拥有三甲医院从医经验,团队医生皆拥有国家认证的诊疗资质,大部分毕业于高级医科大学,在医生团队中博硕专家占比较高,接诊医生平均拥有十年临床经验。

而院内各学科带头人基本皆为原三甲医院医生,均拥有二十年以上的临床经验;从研发层面来说,技术能让品牌坚韧不拔,德伦口腔深知掌握自主核心科技的重要性,一直重视科研创新能力,并不断增加科研投入。
截至目前,德伦口腔现有专利20余项,涵盖种植、正畸、全科、洁牙等各个学科,让口腔科技造福更多市民,助力全民口腔健康早日实现;从学术层面说,德伦口腔定期派遣医生赴国外学习口腔前沿技术与培训,这种定期人才输送,同步国际技术,也保证了德伦口腔的技术与时俱进。
好口碑 德伦造

旗赠仁医,点滴医患情
近日,刘女士将绣有“胖手回春,治好了牙更治愈了我的恐惧”锦旗赠与德伦口腔区庄/燕塘旗舰院技术院长崔保亮,感激与欢乐之情瞬间满溢了整个诊室。

当前,牙齿缺失已成为比较常见的口腔问题之一,“人未老牙先掉”成为越来越多年轻人的尴尬。刘女士就是其中一个很好的例子,她因忽视龋齿的危害及恐惧看牙迟迟不就诊,之后导致多颗牙齿无法保留只能作拔除处理。
眼见自己的牙齿一天不如一天,2020年5月,刘女士来到德伦口腔区庄旗舰院,寻求崔保亮院长的帮助。经崔院长详细检查,刘女士多颗龋齿龋坏严重,即使做根管治疗也无法保留,只能作拔除处理,后做种植牙。

刘女士不解为何不能补牙,而需拔除。崔院长耐心向刘女士解释:“牙齿就像一棵大树,牙根就像树根,牙龈等牙齿周围的组织就像树根周围的泥土。如果出现龋齿,就意味着大树被虫蛀了,慢慢慢慢就会倒塌”。
崔院长说,作为一护人员,不但要做好诊疗治疗,还要做好心理治疗,“双管齐下”才能让患者配合医生的治疗并尽快获得康复。
崔院长缓解刘女士的精神压力,让刘女士直观了解到自身具体牙病状况,具体治疗方案细节是什么,消除刘女士的疑虑与恐惧心理,稳定刘女士情绪,并积极和刘女士进行交流,鼓励其坚持治疗,使其放松心情。之后,刘女士顺利完成治疗。

刘女士术后牙片
为感谢崔院长还她一口好牙梦,刘女士将锦旗赠与崔院。刘女士还调侃了一番崔院,称其“胖手回春”,崔院长笑嘻嘻接过锦旗,笑称自己以后会减肥的,诊间里充满了欢乐的笑声。这温情的时刻,深深印在德伦医护人员的心里。

刘女士重获一口好牙
一面锦旗饱含了患者的感激和敬意,这不仅仅是荣誉的象征,亦是一种认可和信任,更是一种鞭策。崔院长说:“只有站在患者的角度替他们考虑问题,帮他们解决问题,才能获得他们的信任。”
德伦口腔区庄/燕塘旗舰院技术院长崔保亮应中央广播电视总台中央新影《对话品牌》栏目组邀请前往北京出席访谈,对话知名主持人海霞。

答:德伦口腔一直恪守“专业严谨,精益求精”理念,不断追求专家、技术、设备、服务等各个方面的高度整合。我作为德伦口腔燕塘及区庄技术院长始终坚持以专业、严谨的态度服务广大市民,始终坚持用高行业标准来规范自身,关注每个细节、追求技术的完美。
每一位患者的诊疗方案,都有我们的医疗团队层层把关,通过数字化口腔诊疗技术,为市民提供专业的舒适的齿科服务。始终坚持“服务一次,关爱一生”的服务宗旨,做到以人为本,用优质的医疗服务惠及每一位百姓,努力做到医患亲如一家,让百姓获得满意的口腔诊疗服务。
如何保持德伦口腔的技术更好的服务客户?
答:这个要从几方面来说。从专家层面来说,德伦口腔如同一个强大磁场,不断吸引国际医疗人才加盟,德伦口腔专家团队拥有“三高”——高资历、高准入门槛、高临床经验。
近百名专业医生,两百余名优秀护士,绝大部分医护人员都拥有三甲医院从医经验,团队医生皆拥有国家认证的诊疗资质,大部分毕业于高级医科大学,在医生团队中博硕专家占比较高,接诊医生平均拥有十年临床经验。

而院内各学科带头人基本皆为原三甲医院医生,均拥有二十年以上的临床经验;从研发层面来说,技术能让品牌坚韧不拔,德伦口腔深知掌握自主核心科技的重要性,一直重视科研创新能力,并不断增加科研投入。
截至目前,德伦口腔现有专利20余项,涵盖种植、正畸、全科、洁牙等各个学科,让口腔科技造福更多市民,助力全民口腔健康早日实现;从学术层面说,德伦口腔定期派遣医生赴国外学习口腔前沿技术与培训,这种定期人才输送,同步国际技术,也保证了德伦口腔的技术与时俱进。
好口碑 德伦造

牙齿问题在线咨询
020-8378 2905
网上自助挂号
患者
须知
贯彻国家卫生部新医改政策,严格落实解决挂号难、看病难问题,开展网络自助预约挂号服务。

口腔连锁品牌