德伦口腔:让全民拥有一口健康好牙

020-83782905关注我们:

  • 首 页
  • 关于德伦
    德伦品牌
    学术科研
    公益事业
    环境设备
  • 专家团队
  • 在线挂号
  • 加入我们
  • English

您的位置: > 洁牙中心 > 口腔异味 >

警惕!口臭可能是牙周炎的预兆

发表于:2024-09-03 来源:德伦口腔 编辑:刘编 点击:次

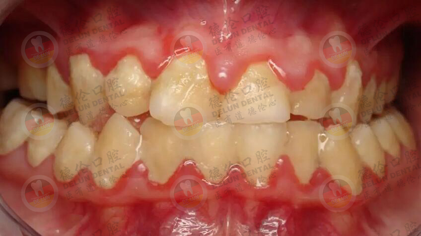
口臭有很多种原因引起,其中牙周炎是常见的一种,如果你出现持续性口臭、牙龈红肿、牙龈出血,就要尽早到医院进行治疗了!你的口腔可能已经被牙周炎盯上了!

牙周炎早期症状包括口臭,牙齿动摇,牙龈红肿,刷牙流血,牙齿位置偏移,牙龈退缩,牙齿变长,此时须及早就诊,接受治疗。牙龈炎晚期,会有很多牙齿摇动厉害,齿龈发红肿胀,牙槽骨严重破坏,口腔卫生不良,口臭四溢,牙齿也产生移位和咬合错乱,这些症状也加重牙齿不舒适感,造成吃东西困难。领取免费口腔拍片,了解你的牙齿情况>>>
 
牙周炎有哪些危害?
 
1.引起疼痛
 
常见的是咀嚼痛。由于牙周组织的炎症,牙周袋内化脓,而使患者咬东西时非常疼痛。另一种疼痛与牙髓炎相似,因为当牙齿松动时,细菌由牙周袋到达牙根末端的根端孔进入牙髓腔内引起牙髓炎而疼痛。
 
2.导致牙齿松动脱落
 
牙周炎初期刷牙时牙龈会出血,过了一段时间后,牙根与牙龈间沟变深,形成牙周囊袋,进一步造成牙龈发炎及牙槽骨破坏,更会产生排脓、口臭、牙齿动摇等情形,导致牙齿脱落。

3.引发各种疾病
 
牙周炎严重者,引发冠心病、中风的几率也高出正常人很多;患重症牙周炎的女性易分娩早产低体重儿;周炎还可以导致一些已有全身疾病的患者抵抗力减弱,从而轻易诱发呼吸消化系统疾病。
 
4.不利于糖尿病治疗

牙周炎会影响到糖尿病患者的病情控制,会加重糖尿病症状,而且,糖尿病的不稳也会加重牙周炎。这两者是相互影响的。

怎么治疗牙周炎引起的口臭?

一般早期和中期的牙周炎可以通过洗牙进行治疗,它能有效清除牙齿死角、牙面上的有害细菌,这些有害物质清除以后,牙周炎症会得到缓解,口臭同时也会减轻。
 
德伦口腔超声波洁牙技术,是利用超声波的高频震荡作用清洁牙齿表面的污渍和牙垢,通过抛光牙面,达到延迟牙垢牙石堆积,有效预防牙周病的效果,过程舒适,不伤牙面,洁净牙齿,健康口腔。在线预约德伦口腔超声波洁牙>>>
 
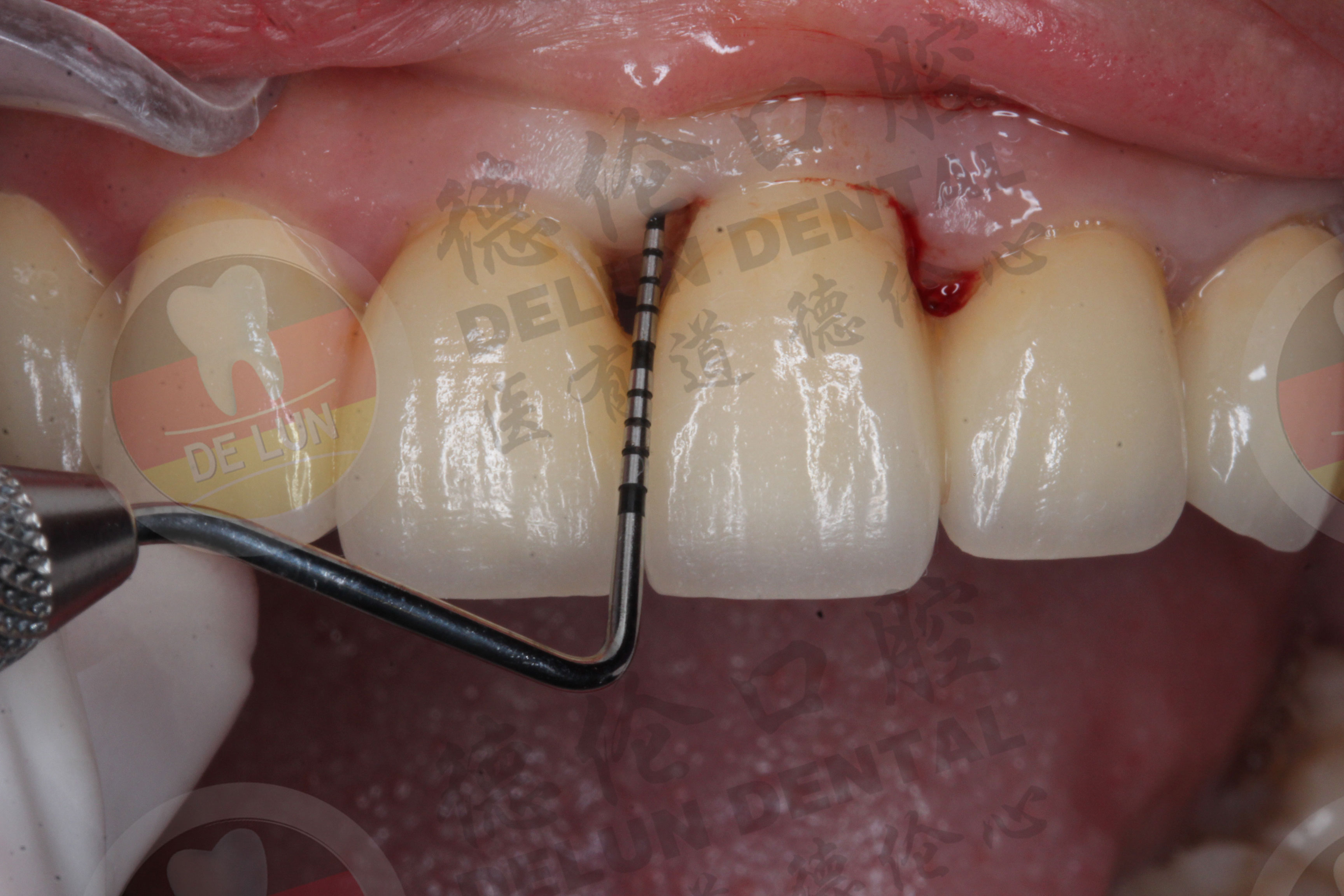
如果牙周炎已经蔓延到牙龈下方的话,单纯用超声波洁牙治疗是不行的,还需要再增加龈下刮治赶走牙周炎,德伦口腔选用——德国牙周治疗仪进行龈下刮治,能更有效破坏龈下生物膜,减少牙周致病因阻止细菌继续对牙周阻止的破坏,促进修复。查看更多德伦口腔牙周炎治疗案例>>>

以上就是口臭可能是牙周炎的预兆的介绍,如果您还有其它问题,可以在线咨询德伦口腔专家为您解答相关口腔问题,您也可以拨打全国热线电话 020-83782905 咨询,德伦口腔专家会竭尽所能的帮助您。

热点推荐

Recommended

• 一张嘴就是一股异味?该怎么办?
• 熬夜会对牙齿有伤害吗?
• 口臭也可能是病,该怎么治?
• 为什么每天按时刷牙,还是会有口
• 熬夜对牙齿有哪些影响?
• 一开口你就输了?口臭究竟怎么办
• 警惕!口臭可能是牙周炎的预兆
• 口腔异味重是什么原因造成的?
  • 上一篇:口腔异味重是什么原因造成的?
  • 下一篇:一开口你就输了?口臭究竟怎么办?
返回列表

分享至

  • 诊疗项目
  • 关于德伦
  • 人才招聘
  • 连锁分院

预约/咨询热线
020-83782905
营业时间:9:00-18:00
全年365天无休,节假日照常值班

口腔种植 牙齿矫正 舒适儿牙 牙齿修复 牙体牙髓 口腔保健
德伦品牌 学术研究 新闻动态 公益事业 环境设备
加入我们
  • 德伦首页
  • 德伦品牌
  • 牙科项目
  • 专家团队
  • 儿童口腔
  • 爱牙工程
  • 德伦环境
  • 分院导航

您的位置: > 洁牙中心 > 口腔异味 >

警惕!口臭可能是牙周炎的预兆
2024-09-03 16:43来源:德伦口腔点击:次
口臭有很多种原因引起,其中牙周炎是常见的一种,如果你出现持续性口臭、牙龈红肿、牙龈出血,就要尽早到医院进行治疗了!你的口腔可能已经被牙周炎盯上了!

牙周炎早期症状包括口臭,牙齿动摇,牙龈红肿,刷牙流血,牙齿位置偏移,牙龈退缩,牙齿变长,此时须及早就诊,接受治疗。牙龈炎晚期,会有很多牙齿摇动厉害,齿龈发红肿胀,牙槽骨严重破坏,口腔卫生不良,口臭四溢,牙齿也产生移位和咬合错乱,这些症状也加重牙齿不舒适感,造成吃东西困难。领取免费口腔拍片,了解你的牙齿情况>>>
 
牙周炎有哪些危害?
 
1.引起疼痛
 
常见的是咀嚼痛。由于牙周组织的炎症,牙周袋内化脓,而使患者咬东西时非常疼痛。另一种疼痛与牙髓炎相似,因为当牙齿松动时,细菌由牙周袋到达牙根末端的根端孔进入牙髓腔内引起牙髓炎而疼痛。
 
2.导致牙齿松动脱落
 
牙周炎初期刷牙时牙龈会出血,过了一段时间后,牙根与牙龈间沟变深,形成牙周囊袋,进一步造成牙龈发炎及牙槽骨破坏,更会产生排脓、口臭、牙齿动摇等情形,导致牙齿脱落。

3.引发各种疾病
 
牙周炎严重者,引发冠心病、中风的几率也高出正常人很多;患重症牙周炎的女性易分娩早产低体重儿;周炎还可以导致一些已有全身疾病的患者抵抗力减弱,从而轻易诱发呼吸消化系统疾病。
 
4.不利于糖尿病治疗

牙周炎会影响到糖尿病患者的病情控制,会加重糖尿病症状,而且,糖尿病的不稳也会加重牙周炎。这两者是相互影响的。

怎么治疗牙周炎引起的口臭?

一般早期和中期的牙周炎可以通过洗牙进行治疗,它能有效清除牙齿死角、牙面上的有害细菌,这些有害物质清除以后,牙周炎症会得到缓解,口臭同时也会减轻。
 
德伦口腔超声波洁牙技术,是利用超声波的高频震荡作用清洁牙齿表面的污渍和牙垢,通过抛光牙面,达到延迟牙垢牙石堆积,有效预防牙周病的效果,过程舒适,不伤牙面,洁净牙齿,健康口腔。在线预约德伦口腔超声波洁牙>>>
 
如果牙周炎已经蔓延到牙龈下方的话,单纯用超声波洁牙治疗是不行的,还需要再增加龈下刮治赶走牙周炎,德伦口腔选用——德国牙周治疗仪进行龈下刮治,能更有效破坏龈下生物膜,减少牙周致病因阻止细菌继续对牙周阻止的破坏,促进修复。查看更多德伦口腔牙周炎治疗案例>>>

以上就是口臭可能是牙周炎的预兆的介绍,如果您还有其它问题,可以在线咨询德伦口腔专家为您解答相关口腔问题,您也可以拨打全国热线电话 020-83782905 咨询,德伦口腔专家会竭尽所能的帮助您。
牙齿问题在线咨询 020-8378 2905

网上自助挂号

患者
须知

贯彻国家卫生部新医改政策,严格落实解决挂号难、看病难问题,开展网络自助预约挂号服务。

选择科室*

  • 种植科
  • 正畸科
  • 综合牙科
  • 儿童齿科

选择年龄*

  • 18岁以下
  • 18-30岁
  • 30-50岁
  • 50岁以上

口腔连锁品牌

  • 首页
  • 项目
  • 顶部

专家预约热线:020-8378 2905
本网站信息仅供参考,不能作为诊疗及医疗依据
广州德伦口腔 粤ICP备11073526号