德伦口腔:让全民拥有一口健康好牙

020-83782905关注我们:

  • 首 页
  • 关于德伦
    德伦品牌
    学术科研
    公益事业
    环境设备
  • 专家团队
  • 在线挂号
  • 加入我们
  • English

您的位置: > 洁牙中心 > 牙结石 >

牙结石到底有多可怕?该怎么清理呢?

发表于:2022-11-07 来源:德伦口腔 编辑:徐编 点击:次

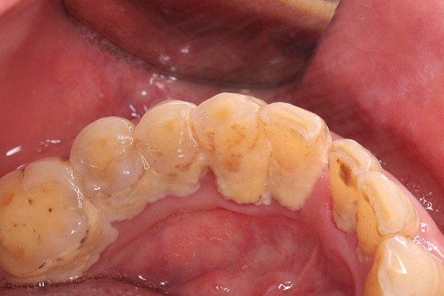
其实牙结石更常见,它是引起龋病和牙周病等口腔疾病的元凶。今天小德就带大家认识一下牙结石。


 
 牙结石是什么?
 
牙结石又称牙石,通常存在于唾液腺开口处的牙齿表面。牙结石开始是乳白色的软垢,会逐渐钙化变硬。牙菌斑和软垢需要通过钙化为牙石。一段时间后会慢慢变得坚硬,牢固附着于牙面上,经过数月或数年发展成坚硬牢固的陈旧性牙结石。

 
牙结石的危害?
 
牙结石不疼不痒,但堆积多了“跑到”牙龈底下,造成牙龈、牙周组织炎症,导致牙龈出血、萎缩、口腔异味,严重时还会出现牙龈发炎溢脓、牙缝变大、牙齿松动乃至脱落,甚至引发牙周病,影响全身健康。


 
牙周病造成牙齿缺失后,由于咀嚼功能下降,会直接引起消化不良。

 
 牙结石要怎么清除?
 
牙结石是否需要清除取决于病情。一般来说,牙结石分为龈上结石和龈下结石。龈上结石可以通过清洁牙齿来解决。如果龈下结石很严重,则需要彻底刮除,进行牙周手术。
 
牙结石的治疗主要分为两方面:
 
一方面是对菌斑的控制,以减少牙结石的形成和细菌对牙龈的侵害;另一方面清除附着在牙齿表面的牙结石。防治结合才能更好地达到治疗效果。

德伦口腔洁牙中心采用的超声波洁牙技术,是利用超声波的高频震荡作用清洁牙齿表面的污渍和牙垢,通过抛光牙面,达到延迟牙垢牙石堆积,有效预防牙周病的效果,过程舒适,不伤牙面,洁净牙齿,健康口腔。在线预约德伦口腔超声波洁牙>>>
 
 日常怎么预防牙结石?
 
1、多吃蔬果
 
蔬菜中富含膳食纤维,通过对牙面的机械性摩擦,清洁牙齿表面,以减少牙菌斑的形成。
 
2、正确刷牙
 
科学刷牙是预防牙周病的基础。饭后内刷牙,每次至少3分钟。

 
3、饭后漱口
 
淡茶水含杀菌消炎和促进牙齿再矿化的物质,可保护牙龈。
 
4、使用牙线
 
牙齿有5个面,刷牙主要能清洁到3个面,牙线可以能清洁牙齿邻面卫生。
 
德伦口腔专家建议:成年人需要每半年到1年洗一次牙,牙周病患者需要半年左右,甚至3个月洗一次牙,确保牙周的健康。同时也要定期到正规口腔机构进行检查,预防口腔疾病的发生。

以上就是关于定期洗牙的介绍,如果您还在其它问题,可以在线咨德伦口腔专家为您解答相关口腔问题,您也可以拨打全国热线电话 020-83782905 咨询,德伦口腔专家会竭尽所能的帮助您。

热点推荐

Recommended

• 洗牙,是你看牙省钱的开始!
• 减轻洗牙酸痛感,让洗牙更轻松!
• 那些年,我们让洗牙背的锅
• 洗牙能把牙齿变白吗?
• 为什么有那么多人不敢洗牙?
• 当牙齿有结石会发生怎样的变化?
• 多数人口中都有的“毁牙炸弹”!
• 天天刷牙为什么牙齿还是会坏?
  • 上一篇:牙结石危害大,定期洗牙是关键
  • 下一篇:口臭、牙龈炎、牙龈出血……都是牙结石在作怪!
返回列表

分享至

  • 诊疗项目
  • 关于德伦
  • 人才招聘
  • 连锁分院

预约/咨询热线
020-83782905
营业时间:9:00-18:00
全年365天无休,节假日照常值班

口腔种植 牙齿矫正 舒适儿牙 牙齿修复 牙体牙髓 口腔保健
德伦品牌 学术研究 新闻动态 公益事业 环境设备
加入我们
  • 德伦首页
  • 德伦品牌
  • 牙科项目
  • 专家团队
  • 儿童口腔
  • 爱牙工程
  • 德伦环境
  • 分院导航

您的位置: > 洁牙中心 > 牙结石 >

牙结石到底有多可怕?该怎么清理呢?
2022-11-07 17:50来源:德伦口腔点击:次
其实牙结石更常见,它是引起龋病和牙周病等口腔疾病的元凶。今天小德就带大家认识一下牙结石。


 
 牙结石是什么?
 
牙结石又称牙石,通常存在于唾液腺开口处的牙齿表面。牙结石开始是乳白色的软垢,会逐渐钙化变硬。牙菌斑和软垢需要通过钙化为牙石。一段时间后会慢慢变得坚硬,牢固附着于牙面上,经过数月或数年发展成坚硬牢固的陈旧性牙结石。

 
牙结石的危害?
 
牙结石不疼不痒,但堆积多了“跑到”牙龈底下,造成牙龈、牙周组织炎症,导致牙龈出血、萎缩、口腔异味,严重时还会出现牙龈发炎溢脓、牙缝变大、牙齿松动乃至脱落,甚至引发牙周病,影响全身健康。


 
牙周病造成牙齿缺失后,由于咀嚼功能下降,会直接引起消化不良。

 
 牙结石要怎么清除?
 
牙结石是否需要清除取决于病情。一般来说,牙结石分为龈上结石和龈下结石。龈上结石可以通过清洁牙齿来解决。如果龈下结石很严重,则需要彻底刮除,进行牙周手术。
 
牙结石的治疗主要分为两方面:
 
一方面是对菌斑的控制,以减少牙结石的形成和细菌对牙龈的侵害;另一方面清除附着在牙齿表面的牙结石。防治结合才能更好地达到治疗效果。

德伦口腔洁牙中心采用的超声波洁牙技术,是利用超声波的高频震荡作用清洁牙齿表面的污渍和牙垢,通过抛光牙面,达到延迟牙垢牙石堆积,有效预防牙周病的效果,过程舒适,不伤牙面,洁净牙齿,健康口腔。在线预约德伦口腔超声波洁牙>>>
 
 日常怎么预防牙结石?
 
1、多吃蔬果
 
蔬菜中富含膳食纤维,通过对牙面的机械性摩擦,清洁牙齿表面,以减少牙菌斑的形成。
 
2、正确刷牙
 
科学刷牙是预防牙周病的基础。饭后内刷牙,每次至少3分钟。

 
3、饭后漱口
 
淡茶水含杀菌消炎和促进牙齿再矿化的物质,可保护牙龈。
 
4、使用牙线
 
牙齿有5个面,刷牙主要能清洁到3个面,牙线可以能清洁牙齿邻面卫生。
 
德伦口腔专家建议:成年人需要每半年到1年洗一次牙,牙周病患者需要半年左右,甚至3个月洗一次牙,确保牙周的健康。同时也要定期到正规口腔机构进行检查,预防口腔疾病的发生。

以上就是关于定期洗牙的介绍,如果您还在其它问题,可以在线咨德伦口腔专家为您解答相关口腔问题,您也可以拨打全国热线电话 020-83782905 咨询,德伦口腔专家会竭尽所能的帮助您。
牙齿问题在线咨询 020-8378 2905

网上自助挂号

患者
须知

贯彻国家卫生部新医改政策,严格落实解决挂号难、看病难问题,开展网络自助预约挂号服务。

选择科室*

  • 种植科
  • 正畸科
  • 综合牙科
  • 儿童齿科

选择年龄*

  • 18岁以下
  • 18-30岁
  • 30-50岁
  • 50岁以上

口腔连锁品牌

  • 首页
  • 项目
  • 顶部

专家预约热线:020-8378 2905
本网站信息仅供参考,不能作为诊疗及医疗依据
广州德伦口腔 粤ICP备11073526号