德伦口腔:让全民拥有一口健康好牙

020-83782905关注我们:

  • 首 页
  • 关于德伦
    德伦品牌
    学术科研
    公益事业
    环境设备
  • 专家团队
  • 在线挂号
  • 加入我们
  • English

您的位置: > 洁牙中心 > 牙结石 >

为什么有那么多人不敢洗牙?

发表于:2023-10-13 来源:德伦口腔 编辑:徐编 点击:次

我们口腔健康的三大敌人:色素、牙菌斑以及牙结石。我们每天刷牙只能清除大部分细菌,长时间就会堆积大量牙菌斑和牙结石。
 
大家都明白了洁牙的道理,但是往往会因为错信了谣言,导致一直都不敢并且不去洗牙,当牙齿出现问题了才后悔莫及,来看看你是不是,也被这些洗牙谣言蒙骗了。

 
洗牙后牙齿会变松吗?
 
在没有进行洗牙之前,牙齿周围是被许多牙结石包围着的,尤其是对于有牙周炎的人来说,牙结石的数量是非常多的,那么当洗牙后牙结石被清理掉、牙龈肿胀和炎症消退,松动就会变明显。
 
 
其实这只是一种错觉。因此,洗牙不但不会造成牙齿松动,反而可以有效预防和治疗牙周炎,防止牙齿松动、脱落。
 
为什么洗完后牙齿酸痛?
 
很多洗完牙的人都说,牙齿变得酸痛敏感,吃东西还会发软。这主要是因为牙根部本身比较敏感,洗牙后失去了牙结石的假性保护突然完全暴露于外界。但无需紧张,这种不适一般1-2周内就会慢慢消退。


 
洗牙后,牙缝会变大吗?
 
有这样的感觉,多半也是因为你牙洗少了。
 
长期留存的牙结石会不断刺激牙龈导致萎缩,当牙结石还在时你感觉不明显,当洗牙后牙结石被清理掉、牙龈肿胀和炎症消退,松动就会变明显。
 

 
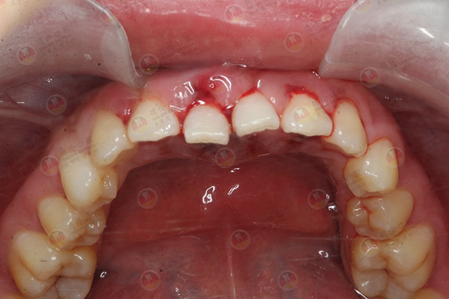
洗牙会造成牙龈出血吗?
 
需要明确的是:造成牙龈出血的主要原因是牙结石刺激牙龈发炎,引发牙龈出血,包括洗牙过程出血,而不是洗牙导致出血。
 
 
为了避免牙结石堆积、牙龈出血,定期洗牙就好了。洗完牙后,牙龈就会慢慢恢复健康,以后刷牙就不会出血了~
 
为什么要定期洗牙?
 
洗牙只能让口腔保持一段时间的清洁。每天吃饭都会有残渣留在牙齿缝隙里和死角里,滋生牙菌斑,努力变成牙结石!所以,定期洗牙才能长久的保持口腔清洁。


 
这4类人要抓紧洗牙
 
当你的口腔健康出现以下问题时,洗牙计划就显得刻不容缓了:
 
01、牙周不健康者
 
刷牙出血、牙床肿胀等症状都属于牙周问题,有这些情况的患者应当及时去专业牙科机构进行洗牙。口腔医生会根据牙齿的实际病情进行针对性治疗,以非常好的效果。


 
02、备孕中的准妈妈
 
怀孕后出现牙周问题治疗起来比较麻烦。因此这类人群应在备孕前到口腔机构检查口腔情况,根据检查情况决定是否需要洗牙,以保证孕期口腔牙周健康。
 
03、需要假牙修复者
 
镶牙前进行洗牙及其他牙周治疗,健康的牙周情况,可保证假牙在镶复后正常使用。


 
 
04、牙齿色素沉淀者
 
如果发现自己的牙齿出现了黑点、牙结石、色数沉着等问题,也可通过洗牙来进行缓解!
 
所以各位小伙伴请记住,每年都要做好定期洁牙,别再被谣言止步了你的口腔健康计划。

如果您还有其它问题,可以在线咨询德伦口腔专家为您解答相关口腔问题,您也可以拨打全国热线电话 020-83782905 咨询,德伦口腔专家会竭尽所能的帮助您。在线咨询德伦口腔专家>>>

热点推荐

Recommended

• 洗牙,是你看牙省钱的开始!
• 减轻洗牙酸痛感,让洗牙更轻松!
• 那些年,我们让洗牙背的锅
• 洗牙能把牙齿变白吗?
• 为什么有那么多人不敢洗牙?
• 当牙齿有结石会发生怎样的变化?
• 多数人口中都有的“毁牙炸弹”!
• 天天刷牙为什么牙齿还是会坏?
  • 上一篇:当牙齿有结石会发生怎样的变化?
  • 下一篇:洗牙能把牙齿变白吗?
返回列表

分享至

  • 诊疗项目
  • 关于德伦
  • 人才招聘
  • 连锁分院

预约/咨询热线
020-83782905
营业时间:9:00-18:00
全年365天无休,节假日照常值班

口腔种植 牙齿矫正 舒适儿牙 牙齿修复 牙体牙髓 口腔保健
德伦品牌 学术研究 新闻动态 公益事业 环境设备
加入我们
  • 德伦首页
  • 德伦品牌
  • 牙科项目
  • 专家团队
  • 儿童口腔
  • 爱牙工程
  • 德伦环境
  • 分院导航

您的位置: > 洁牙中心 > 牙结石 >

为什么有那么多人不敢洗牙?
2023-10-13 17:09来源:德伦口腔点击:次
我们口腔健康的三大敌人:色素、牙菌斑以及牙结石。我们每天刷牙只能清除大部分细菌,长时间就会堆积大量牙菌斑和牙结石。
 
大家都明白了洁牙的道理,但是往往会因为错信了谣言,导致一直都不敢并且不去洗牙,当牙齿出现问题了才后悔莫及,来看看你是不是,也被这些洗牙谣言蒙骗了。

 
洗牙后牙齿会变松吗?
 
在没有进行洗牙之前,牙齿周围是被许多牙结石包围着的,尤其是对于有牙周炎的人来说,牙结石的数量是非常多的,那么当洗牙后牙结石被清理掉、牙龈肿胀和炎症消退,松动就会变明显。
 
 
其实这只是一种错觉。因此,洗牙不但不会造成牙齿松动,反而可以有效预防和治疗牙周炎,防止牙齿松动、脱落。
 
为什么洗完后牙齿酸痛?
 
很多洗完牙的人都说,牙齿变得酸痛敏感,吃东西还会发软。这主要是因为牙根部本身比较敏感,洗牙后失去了牙结石的假性保护突然完全暴露于外界。但无需紧张,这种不适一般1-2周内就会慢慢消退。


 
洗牙后,牙缝会变大吗?
 
有这样的感觉,多半也是因为你牙洗少了。
 
长期留存的牙结石会不断刺激牙龈导致萎缩,当牙结石还在时你感觉不明显,当洗牙后牙结石被清理掉、牙龈肿胀和炎症消退,松动就会变明显。
 

 
洗牙会造成牙龈出血吗?
 
需要明确的是:造成牙龈出血的主要原因是牙结石刺激牙龈发炎,引发牙龈出血,包括洗牙过程出血,而不是洗牙导致出血。
 
 
为了避免牙结石堆积、牙龈出血,定期洗牙就好了。洗完牙后,牙龈就会慢慢恢复健康,以后刷牙就不会出血了~
 
为什么要定期洗牙?
 
洗牙只能让口腔保持一段时间的清洁。每天吃饭都会有残渣留在牙齿缝隙里和死角里,滋生牙菌斑,努力变成牙结石!所以,定期洗牙才能长久的保持口腔清洁。


 
这4类人要抓紧洗牙
 
当你的口腔健康出现以下问题时,洗牙计划就显得刻不容缓了:
 
01、牙周不健康者
 
刷牙出血、牙床肿胀等症状都属于牙周问题,有这些情况的患者应当及时去专业牙科机构进行洗牙。口腔医生会根据牙齿的实际病情进行针对性治疗,以非常好的效果。


 
02、备孕中的准妈妈
 
怀孕后出现牙周问题治疗起来比较麻烦。因此这类人群应在备孕前到口腔机构检查口腔情况,根据检查情况决定是否需要洗牙,以保证孕期口腔牙周健康。
 
03、需要假牙修复者
 
镶牙前进行洗牙及其他牙周治疗,健康的牙周情况,可保证假牙在镶复后正常使用。


 
 
04、牙齿色素沉淀者
 
如果发现自己的牙齿出现了黑点、牙结石、色数沉着等问题,也可通过洗牙来进行缓解!
 
所以各位小伙伴请记住,每年都要做好定期洁牙,别再被谣言止步了你的口腔健康计划。

如果您还有其它问题,可以在线咨询德伦口腔专家为您解答相关口腔问题,您也可以拨打全国热线电话 020-83782905 咨询,德伦口腔专家会竭尽所能的帮助您。在线咨询德伦口腔专家>>>
牙齿问题在线咨询 020-8378 2905

网上自助挂号

患者
须知

贯彻国家卫生部新医改政策,严格落实解决挂号难、看病难问题,开展网络自助预约挂号服务。

选择科室*

  • 种植科
  • 正畸科
  • 综合牙科
  • 儿童齿科

选择年龄*

  • 18岁以下
  • 18-30岁
  • 30-50岁
  • 50岁以上

口腔连锁品牌

  • 首页
  • 项目
  • 顶部

专家预约热线:020-8378 2905
本网站信息仅供参考,不能作为诊疗及医疗依据
广州德伦口腔 粤ICP备11073526号