德伦口腔:让全民拥有一口健康好牙

020-83782905关注我们:

  • 首 页
  • 关于德伦
    德伦品牌
    学术科研
    公益事业
    环境设备
  • 专家团队
  • 在线挂号
  • 加入我们
  • English

您的位置: > 洁牙中心 > 牙结石 >

牙缝里的牙结石,如何清除干净?

发表于:2023-05-07 来源:德伦口腔 编辑:徐编 点击:次

牙结石就是牙齿表面的正在钙化的菌斑和软垢。菌斑,是由于微生物细菌堆积而导致的产物;软垢是残留在牙齿表面的食物残渣和细菌的混合物。所以,牙结石就是牙齿表面的食物残渣和细菌的结合物。


 
牙结石会产生很多危害,其中明显的就是口臭。而牙结石会导致口臭的原因就在于牙结石里面的细菌导致食物残渣发酵,在发酵过程中会产生很多气体从而形成臭味。因此,口臭的程度与牙结石的数量成正比,牙结石少的人的口臭较轻,而牙结石多的人口臭就会较重。
 

 
牙结石不仅会引起口臭,它还会导致譬如牙龈出血等其他危害。
 
很多人在平时刷牙时都会发现一个现象,自己并未如何用力,但是刷完牙发现自己有牙龈出血,这很可能是由牙结石导致的。因为牙结石经常长在牙缝处贴近牙龈,导致牙结石对牙龈产生压迫。而且在牙结石内有大量细菌,而牙结石里的细菌能够诱发人体产生炎症,在压迫和炎症的双重刺激下就会使牙龈处于“亚健康”。


 
因此,即使是轻微的刷牙也可能导致牙龈出血。并且如果牙龈长期处于炎症和压迫的双重刺激下会导致细胞的死亡,从而导致牙龈萎缩。
 
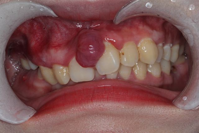
出血和牙龈萎缩还不是牙结石能够引发的严重的危害,牙结石会引发牙周脓肿。


 
牙结石会因为细菌产生牙龈炎症,而在在炎症长时间无法消除的情况下,造成炎症范围逐渐扩大,并且会产生脓液。脓液因为被牙龈和牙结石包裹无法排出,所以渗出物会在里面越积越多,从而形成脓肿。在不采取治疗措施的状况下,脓液会慢慢侵蚀牙齿根部,导致牙齿松动,造成牙齿脱落。


 
而且牙结石会生长在任何一个牙齿上,如果是出现在后槽牙上导致牙齿脱落,就会对导致进食时咀嚼食物不方便,而成年人的牙齿是不能够再次生长出来的,这就会对我们的生活造成极大的影响。
 
既然牙结石有这么严重的危害,那么牙结石是怎么产生的呢?
 
首先,牙结石的形成跟不合理的饮食结构有关。
 
很多人都喜欢吃甜食,不过不只是人喜欢甜食,细菌也喜欢。当人摄入过多的甜食以后,就会造成很多糖分残留在牙齿表面,这些残留的糖给予了细菌足够的养分在人的牙齿上生长定居,这就是菌斑的由来,菌斑长时间在牙齿上生长会进一步钙化形成结石。


 
并且当人去吃一些软的或者黏性大的食物,比如软糖,这些食物也会粘在牙齿上和菌斑混在一起变成软垢。除了甜食和黏性大的食物以外,在日常生活中,吃的食物也会有些许残留在牙齿上,他们会一起形成牙结石。这就是牙结石的由来。
 
饮食只是构成牙结石的一个因素,还有其他因素也会导致牙结石的产生,比如说刷牙的方式。
 
其实,在生活中有很多人的刷牙方式都不能有效清洁牙齿,刷牙并没有看上去那么简单。即使刷牙的时候刷的又快又用力,但是如果没有好好清理牙齿的每个地方,那么就不能有效的清除牙齿上的细菌和食物残渣。错误的刷牙方式还会损伤牙齿的结构而影响牙齿的健康,所以刷牙方式也是影响牙结石生成的一大因素。
 
 
牙齿是否整齐也会影响牙结石的形成。
 
对于整齐的牙齿,在刷牙的时候就会能很容易的进行清洁,从而减少牙结石的形成;对于不整齐的牙齿,它们的牙齿会彼此交错形成更多的缝隙,这些缝隙是刷牙时的死角,会导致在刷牙时不能有效的清除牙齿缝隙间的食物残渣和细菌,久而久之在这些无法被清洁的死角就会形成牙结石。


 
而且这里的牙结石因为处于牙齿的缝隙中,所以很难靠刷牙的方式去清洁,很多细心的人观察自己的牙齿,就会发现那些黄黄的牙结石基本上都是在牙缝中间以及周围。
 
解决牙结石,这4个方法是不少人的选择
 
说完了牙结石的形成原因和它的危害,我们现在来谈谈如何去除牙结石,这里给大家推荐了几个方法。
 
第一,从牙结石形成的原因入手。
 
既然饮食方面能够影响牙结石的形成,那么我们就可以从饮食方面进行入手,要少吃甜食,少吃软的黏的食物,因为这些食物有助于菌斑和软垢的形成。适当的多吃一些瓜果蔬菜等有益于口腔健康的食物,这样能减少细菌的生成,这对于预防和减少牙结石能起到了很大的作用。


 
但是有很多人天生就喜欢吃甜食,自己并不能够有效的控制自己减少甜食的摄入。那么,对于这些人,可以慢慢的减少每天甜食的摄入量,不要一开始就禁止自己吃甜食,只要慢慢减量,那么总会把甜食的摄入量减下来。还可以寻求家人和朋友的帮助,请他们监督自己,以此达到控制甜食摄入的目的。没有了甜食,细菌的生长就会抑制,菌斑的形成也会被遏制,牙结石的形成也会减少。
 
第二,仅仅控制甜食的摄入是不够的,除了甜食以外我们还要学会正确的刷牙方法。
 
全面而有效地清洁牙齿的每个地方,来预防牙结石的形成以及把正在形成的牙结石扼杀在摇篮中。在这里,我们推荐巴氏刷牙法。简单来说,巴氏刷牙法就是上面的牙齿,要往上面刷,下面的牙齿往下面刷,牙刷与牙的长轴呈45度角指向牙根方向,牙齿的咬合面要来回刷。

 
另外,还要使用牙线等工具来清除牙缝间的细菌,在刷完牙齿以后,再用牙刷轻轻的刷一刷舌头的表面,再漱口。
 
第三,上面的两种方法可以有效的预防和减少牙结石的生成,但是对于如果牙结石过多,短期内无法消除的人来说还有其他方法,那就是去医院洗牙。
 
洗牙可以有效的去除牙结石和菌斑,进而有效的预防牙周疾病和龋齿从而保护好牙齿,达到健齿美白的效果。另外,洗牙还能够有效改善口腔异味,每隔半年或一年洗一次即可。


 
第四,仅仅知道如何治疗牙结石是不行的,牙结石的形成以及牙齿的爱护是一项长期的工作。如果自己在家不能好好的保护自己的牙齿,预防牙结石的产生,那么建议大家要去医院定期进行口腔检查。

如果您还有其它问题,可以在线咨询德伦口腔专家为您解答相关口腔问题,您也可以拨打全国热线电话 020-83782905 咨询,德伦口腔专家会竭尽所能的帮助您。在线咨询德伦专家>>>

热点推荐

Recommended

• 洗牙,是你看牙省钱的开始!
• 减轻洗牙酸痛感,让洗牙更轻松!
• 那些年,我们让洗牙背的锅
• 洗牙能把牙齿变白吗?
• 为什么有那么多人不敢洗牙?
• 当牙齿有结石会发生怎样的变化?
• 多数人口中都有的“毁牙炸弹”!
• 天天刷牙为什么牙齿还是会坏?
  • 上一篇:什么是“牙结石”,到底有什么危害?
  • 下一篇:这4类人,一定要去洗牙了...
返回列表

分享至

  • 诊疗项目
  • 关于德伦
  • 人才招聘
  • 连锁分院

预约/咨询热线
020-83782905
营业时间:9:00-18:00
全年365天无休,节假日照常值班

口腔种植 牙齿矫正 舒适儿牙 牙齿修复 牙体牙髓 口腔保健
德伦品牌 学术研究 新闻动态 公益事业 环境设备
加入我们
  • 德伦首页
  • 德伦品牌
  • 牙科项目
  • 专家团队
  • 儿童口腔
  • 爱牙工程
  • 德伦环境
  • 分院导航

您的位置: > 洁牙中心 > 牙结石 >

牙缝里的牙结石,如何清除干净?
2023-05-07 17:24来源:德伦口腔点击:次
牙结石就是牙齿表面的正在钙化的菌斑和软垢。菌斑,是由于微生物细菌堆积而导致的产物;软垢是残留在牙齿表面的食物残渣和细菌的混合物。所以,牙结石就是牙齿表面的食物残渣和细菌的结合物。


 
牙结石会产生很多危害,其中明显的就是口臭。而牙结石会导致口臭的原因就在于牙结石里面的细菌导致食物残渣发酵,在发酵过程中会产生很多气体从而形成臭味。因此,口臭的程度与牙结石的数量成正比,牙结石少的人的口臭较轻,而牙结石多的人口臭就会较重。
 

 
牙结石不仅会引起口臭,它还会导致譬如牙龈出血等其他危害。
 
很多人在平时刷牙时都会发现一个现象,自己并未如何用力,但是刷完牙发现自己有牙龈出血,这很可能是由牙结石导致的。因为牙结石经常长在牙缝处贴近牙龈,导致牙结石对牙龈产生压迫。而且在牙结石内有大量细菌,而牙结石里的细菌能够诱发人体产生炎症,在压迫和炎症的双重刺激下就会使牙龈处于“亚健康”。


 
因此,即使是轻微的刷牙也可能导致牙龈出血。并且如果牙龈长期处于炎症和压迫的双重刺激下会导致细胞的死亡,从而导致牙龈萎缩。
 
出血和牙龈萎缩还不是牙结石能够引发的严重的危害,牙结石会引发牙周脓肿。


 
牙结石会因为细菌产生牙龈炎症,而在在炎症长时间无法消除的情况下,造成炎症范围逐渐扩大,并且会产生脓液。脓液因为被牙龈和牙结石包裹无法排出,所以渗出物会在里面越积越多,从而形成脓肿。在不采取治疗措施的状况下,脓液会慢慢侵蚀牙齿根部,导致牙齿松动,造成牙齿脱落。


 
而且牙结石会生长在任何一个牙齿上,如果是出现在后槽牙上导致牙齿脱落,就会对导致进食时咀嚼食物不方便,而成年人的牙齿是不能够再次生长出来的,这就会对我们的生活造成极大的影响。
 
既然牙结石有这么严重的危害,那么牙结石是怎么产生的呢?
 
首先,牙结石的形成跟不合理的饮食结构有关。
 
很多人都喜欢吃甜食,不过不只是人喜欢甜食,细菌也喜欢。当人摄入过多的甜食以后,就会造成很多糖分残留在牙齿表面,这些残留的糖给予了细菌足够的养分在人的牙齿上生长定居,这就是菌斑的由来,菌斑长时间在牙齿上生长会进一步钙化形成结石。


 
并且当人去吃一些软的或者黏性大的食物,比如软糖,这些食物也会粘在牙齿上和菌斑混在一起变成软垢。除了甜食和黏性大的食物以外,在日常生活中,吃的食物也会有些许残留在牙齿上,他们会一起形成牙结石。这就是牙结石的由来。
 
饮食只是构成牙结石的一个因素,还有其他因素也会导致牙结石的产生,比如说刷牙的方式。
 
其实,在生活中有很多人的刷牙方式都不能有效清洁牙齿,刷牙并没有看上去那么简单。即使刷牙的时候刷的又快又用力,但是如果没有好好清理牙齿的每个地方,那么就不能有效的清除牙齿上的细菌和食物残渣。错误的刷牙方式还会损伤牙齿的结构而影响牙齿的健康,所以刷牙方式也是影响牙结石生成的一大因素。
 
 
牙齿是否整齐也会影响牙结石的形成。
 
对于整齐的牙齿,在刷牙的时候就会能很容易的进行清洁,从而减少牙结石的形成;对于不整齐的牙齿,它们的牙齿会彼此交错形成更多的缝隙,这些缝隙是刷牙时的死角,会导致在刷牙时不能有效的清除牙齿缝隙间的食物残渣和细菌,久而久之在这些无法被清洁的死角就会形成牙结石。


 
而且这里的牙结石因为处于牙齿的缝隙中,所以很难靠刷牙的方式去清洁,很多细心的人观察自己的牙齿,就会发现那些黄黄的牙结石基本上都是在牙缝中间以及周围。
 
解决牙结石,这4个方法是不少人的选择
 
说完了牙结石的形成原因和它的危害,我们现在来谈谈如何去除牙结石,这里给大家推荐了几个方法。
 
第一,从牙结石形成的原因入手。
 
既然饮食方面能够影响牙结石的形成,那么我们就可以从饮食方面进行入手,要少吃甜食,少吃软的黏的食物,因为这些食物有助于菌斑和软垢的形成。适当的多吃一些瓜果蔬菜等有益于口腔健康的食物,这样能减少细菌的生成,这对于预防和减少牙结石能起到了很大的作用。


 
但是有很多人天生就喜欢吃甜食,自己并不能够有效的控制自己减少甜食的摄入。那么,对于这些人,可以慢慢的减少每天甜食的摄入量,不要一开始就禁止自己吃甜食,只要慢慢减量,那么总会把甜食的摄入量减下来。还可以寻求家人和朋友的帮助,请他们监督自己,以此达到控制甜食摄入的目的。没有了甜食,细菌的生长就会抑制,菌斑的形成也会被遏制,牙结石的形成也会减少。
 
第二,仅仅控制甜食的摄入是不够的,除了甜食以外我们还要学会正确的刷牙方法。
 
全面而有效地清洁牙齿的每个地方,来预防牙结石的形成以及把正在形成的牙结石扼杀在摇篮中。在这里,我们推荐巴氏刷牙法。简单来说,巴氏刷牙法就是上面的牙齿,要往上面刷,下面的牙齿往下面刷,牙刷与牙的长轴呈45度角指向牙根方向,牙齿的咬合面要来回刷。

 
另外,还要使用牙线等工具来清除牙缝间的细菌,在刷完牙齿以后,再用牙刷轻轻的刷一刷舌头的表面,再漱口。
 
第三,上面的两种方法可以有效的预防和减少牙结石的生成,但是对于如果牙结石过多,短期内无法消除的人来说还有其他方法,那就是去医院洗牙。
 
洗牙可以有效的去除牙结石和菌斑,进而有效的预防牙周疾病和龋齿从而保护好牙齿,达到健齿美白的效果。另外,洗牙还能够有效改善口腔异味,每隔半年或一年洗一次即可。


 
第四,仅仅知道如何治疗牙结石是不行的,牙结石的形成以及牙齿的爱护是一项长期的工作。如果自己在家不能好好的保护自己的牙齿,预防牙结石的产生,那么建议大家要去医院定期进行口腔检查。

如果您还有其它问题,可以在线咨询德伦口腔专家为您解答相关口腔问题,您也可以拨打全国热线电话 020-83782905 咨询,德伦口腔专家会竭尽所能的帮助您。在线咨询德伦专家>>>
牙齿问题在线咨询 020-8378 2905

网上自助挂号

患者
须知

贯彻国家卫生部新医改政策,严格落实解决挂号难、看病难问题,开展网络自助预约挂号服务。

选择科室*

  • 种植科
  • 正畸科
  • 综合牙科
  • 儿童齿科

选择年龄*

  • 18岁以下
  • 18-30岁
  • 30-50岁
  • 50岁以上

口腔连锁品牌

  • 首页
  • 项目
  • 顶部

专家预约热线:020-8378 2905
本网站信息仅供参考,不能作为诊疗及医疗依据
广州德伦口腔 粤ICP备11073526号