德伦口腔:让全民拥有一口健康好牙

020-83782905关注我们:

  • 首 页
  • 关于德伦
    德伦品牌
    学术科研
    公益事业
    环境设备
  • 专家团队
  • 在线挂号
  • 加入我们
  • English

您的位置: > 洁牙中心 > 牙结石 >

关于洗牙的4大误区,你踩了几个坑?

发表于:2023-09-15 来源:德伦口腔 编辑:徐编 点击:次

关于洗牙这件事,总有这样或那样的误区,比如“洗牙会让牙缝变大”又比如“洗牙能让牙齿变白”太多人陷入洗牙的误区了,今天就来看看你们踩了几个坑。
 

 
误区一、洗牙次数越多越好
 
错!
 
洗牙的频率因人而异,但绝不是越多越好。通常来说,牙周健康的人只需要一年洗一到两次牙就好。
 

 
误区二、洗完牙会让牙缝变大
 
错!
 
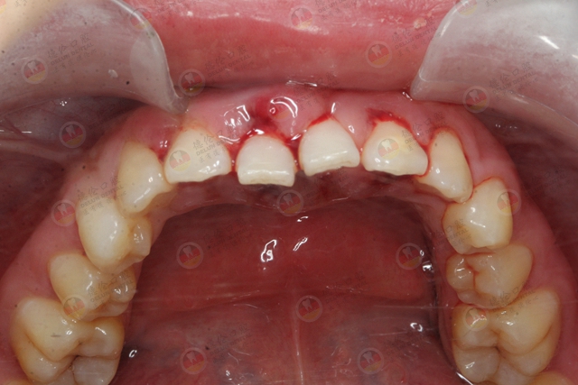
在洗牙后觉得自己牙缝变大的小伙伴,一般是牙结石比较多的人。
 
洗掉牙结石,只是将本就松动和被损坏的牙齿解放出来而已,这也是洗牙后感觉牙缝变宽和牙齿松动的真相之一。
 
 
误区三、洗牙会让牙齿变白
 
错!
 
这同样是一种错觉。
 
牙齿表面沉积的色素以及牙结石、牙菌斑被清除干净后,你牙齿本身的颜色就恢复成原来的样子了,但这并不是真正的牙齿美白。
 

 
误区四、每天刷牙就不需要洗牙
 
错!
 
平常光靠刷牙是不能完全把牙齿刷干净的,如果不定期洗牙,牙齿表面的牙菌斑和牙结石就会一直堆积,慢慢地就会导致蛀牙、牙周炎、牙龈炎等牙病发生。
 
 
这些情况提醒你该去洗牙了!
 
01、牙齿上有牙结石、牙菌斑等
 
牙结石是牙齿表面的硬质沉积物,由口腔内的细菌和食物残渣等原因形成。洗牙可以去除牙菌斑和牙结石,预防和治疗牙周病和牙龈炎。

 
02、口腔内有口臭、龋齿等问题
 
口腔内有口臭和龋齿的原因可能是口腔卫生环境不干净,就会有残渣、软垢的存在,这些会和有菌体结合形成牙菌斑,长期不进行清洁,就会导致出现牙周疾病或是牙齿松动的情况。

 
洗牙在一定程度上可以减轻口臭,因为在洗牙过程中会除去牙齿表面堆积的牙结石,这样就能够达到去除口臭的效果。
 
03、牙龈出血、肿痛等牙周疾病
 
牙龈出血、肿痛可能是因为牙周炎、牙龈炎等口腔疾病。
 
 
所以,如果你也出现牙龈出血、肿痛等问题,那么很可能是牙结石、牙菌斑堆积过多导致的,建议你及时到正规的医院洗牙。
 
04、长期吸烟、喝酒等不良生活习惯
 
长期抽烟、喝酒都是非常容易导致牙垢滋生的。
 
洗牙可以很好地去除牙结石、牙菌斑,但是不良的生活习惯,还是会导致牙齿产生牙垢的,所以定期洗牙很有必要,而且还可以预防口腔炎症。


 
如果您还有其它问题,可以在线咨询德伦口腔专家为您解答相关口腔问题,您也可以拨打全国热线电话 020-83782905 咨询,德伦口腔专家会竭尽所能的帮助您。在线咨询德伦口腔专家>>>

热点推荐

Recommended

• 洗牙,是你看牙省钱的开始!
• 减轻洗牙酸痛感,让洗牙更轻松!
• 那些年,我们让洗牙背的锅
• 洗牙能把牙齿变白吗?
• 为什么有那么多人不敢洗牙?
• 当牙齿有结石会发生怎样的变化?
• 多数人口中都有的“毁牙炸弹”!
• 天天刷牙为什么牙齿还是会坏?
  • 上一篇:洗牙的6大好处,你知道吗?
  • 下一篇:同样是洁牙,为什么有些人“又酸又痛”?
返回列表

分享至

  • 诊疗项目
  • 关于德伦
  • 人才招聘
  • 连锁分院

预约/咨询热线
020-83782905
营业时间:9:00-18:00
全年365天无休,节假日照常值班

口腔种植 牙齿矫正 舒适儿牙 牙齿修复 牙体牙髓 口腔保健
德伦品牌 学术研究 新闻动态 公益事业 环境设备
加入我们
  • 德伦首页
  • 德伦品牌
  • 牙科项目
  • 专家团队
  • 儿童口腔
  • 爱牙工程
  • 德伦环境
  • 分院导航

您的位置: > 洁牙中心 > 牙结石 >

关于洗牙的4大误区,你踩了几个坑?
2023-09-15 15:41来源:德伦口腔点击:次
关于洗牙这件事,总有这样或那样的误区,比如“洗牙会让牙缝变大”又比如“洗牙能让牙齿变白”太多人陷入洗牙的误区了,今天就来看看你们踩了几个坑。
 

 
误区一、洗牙次数越多越好
 
错!
 
洗牙的频率因人而异,但绝不是越多越好。通常来说,牙周健康的人只需要一年洗一到两次牙就好。
 

 
误区二、洗完牙会让牙缝变大
 
错!
 
在洗牙后觉得自己牙缝变大的小伙伴,一般是牙结石比较多的人。
 
洗掉牙结石,只是将本就松动和被损坏的牙齿解放出来而已,这也是洗牙后感觉牙缝变宽和牙齿松动的真相之一。
 
 
误区三、洗牙会让牙齿变白
 
错!
 
这同样是一种错觉。
 
牙齿表面沉积的色素以及牙结石、牙菌斑被清除干净后,你牙齿本身的颜色就恢复成原来的样子了,但这并不是真正的牙齿美白。
 

 
误区四、每天刷牙就不需要洗牙
 
错!
 
平常光靠刷牙是不能完全把牙齿刷干净的,如果不定期洗牙,牙齿表面的牙菌斑和牙结石就会一直堆积,慢慢地就会导致蛀牙、牙周炎、牙龈炎等牙病发生。
 
 
这些情况提醒你该去洗牙了!
 
01、牙齿上有牙结石、牙菌斑等
 
牙结石是牙齿表面的硬质沉积物,由口腔内的细菌和食物残渣等原因形成。洗牙可以去除牙菌斑和牙结石,预防和治疗牙周病和牙龈炎。

 
02、口腔内有口臭、龋齿等问题
 
口腔内有口臭和龋齿的原因可能是口腔卫生环境不干净,就会有残渣、软垢的存在,这些会和有菌体结合形成牙菌斑,长期不进行清洁,就会导致出现牙周疾病或是牙齿松动的情况。

 
洗牙在一定程度上可以减轻口臭,因为在洗牙过程中会除去牙齿表面堆积的牙结石,这样就能够达到去除口臭的效果。
 
03、牙龈出血、肿痛等牙周疾病
 
牙龈出血、肿痛可能是因为牙周炎、牙龈炎等口腔疾病。
 
 
所以,如果你也出现牙龈出血、肿痛等问题,那么很可能是牙结石、牙菌斑堆积过多导致的,建议你及时到正规的医院洗牙。
 
04、长期吸烟、喝酒等不良生活习惯
 
长期抽烟、喝酒都是非常容易导致牙垢滋生的。
 
洗牙可以很好地去除牙结石、牙菌斑,但是不良的生活习惯,还是会导致牙齿产生牙垢的,所以定期洗牙很有必要,而且还可以预防口腔炎症。


 
如果您还有其它问题,可以在线咨询德伦口腔专家为您解答相关口腔问题,您也可以拨打全国热线电话 020-83782905 咨询,德伦口腔专家会竭尽所能的帮助您。在线咨询德伦口腔专家>>>
牙齿问题在线咨询 020-8378 2905

网上自助挂号

患者
须知

贯彻国家卫生部新医改政策,严格落实解决挂号难、看病难问题,开展网络自助预约挂号服务。

选择科室*

  • 种植科
  • 正畸科
  • 综合牙科
  • 儿童齿科

选择年龄*

  • 18岁以下
  • 18-30岁
  • 30-50岁
  • 50岁以上

口腔连锁品牌

  • 首页
  • 项目
  • 顶部

专家预约热线:020-8378 2905
本网站信息仅供参考,不能作为诊疗及医疗依据
广州德伦口腔 粤ICP备11073526号