德伦口腔:让全民拥有一口健康好牙

020-83782905关注我们:

  • 首 页
  • 关于德伦
    德伦品牌
    学术科研
    公益事业
    环境设备
  • 专家团队
  • 在线挂号
  • 加入我们
  • English

您的位置: > 口腔内科 > 牙周科 > 牙齿松动 >

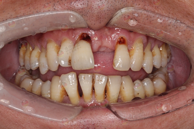
你知道吗?牙周病的尽头是全口牙掉光光!

发表于:2023-09-23 来源:德伦口腔 编辑:徐编 点击:次

吃东西就塞牙,难受!牙龈反复红肿,牙齿变长、牙缝变大?早上刷牙,突然刷掉了一颗。
 

 
很多人出现以上症状时,起初并不重视,久而久之,牙缝越来越大,牙齿越来越长,慢慢就开始松动了、咬东西没力,如果再放任不管的下场就是——牙槽骨萎缩、全口牙掉光……
 

 
什么是牙周病?
 
牙周病,是指牙齿支持的组织发生病变,即牙肉、牙附近的骨头发生病变、破坏。它是会导致牙齿不能保留的原因之一,是危害人类牙齿和全身健康的口腔疾病。
 

 
警惕:牙周病还与全身病有着密切的关系,例如糖尿病,心脑血管疾病,目前的研究告诉我们牙周病和这些系统性疾病史相互促进、相互影响的。
 
牙周病的早期症状并不以引起人们的重视,等到就诊时一般都已经很严重,不仅损害口腔咀嚼功能,还会严重影响全身健康。
 
牙周病导致的牙齿松动需要拔牙吗?
 
牙齿松动后,是否有保留价值、需不需要拔除,要看牙齿松动的情况。若轻度松动,通过有效的牙周治疗,可以恢复正常。

 
若中度松动,应固定松动牙与邻牙,以降低松动牙的负荷;若重度松动,可以根据患者的条件,可采用先拔牙后种牙的方法,避免因缺牙长期不修复,造成的邻牙歪斜、脱落的风险。

 
许多人看牙不是发现症状、马上就诊,而是牙周病发展到了非常严重的地步才寻求帮助。然而,这时的牙周病往往已到中、晚期,治疗难度增加、周期长、费用高。因此,每半年到一年进行定期口腔检查和牙周检查,预防包括牙周疾病在内的口腔疾病,是非常重要的。

如果您还有其它问题,可以在线咨询德伦口腔专家为您解答相关口腔问题,您也可以拨打全国热线电话 020-83782905 咨询,德伦口腔专家会竭尽所能的帮助您。在线咨询德伦口腔专家>>>

热点推荐

Recommended

• 有牙周病,怎么样才能种好牙?
• 重度牙周炎导致的牙齿松动应该怎
• 你知道吗?牙周病的尽头是全口牙
• 这个年轻人满口牙掉光了,真相竟
• 牙齿松动是怎么回事?
• 牙齿松动?有这些习惯的要特别注
• 牙周病——导致牙齿脱落的“幕后
• 牙齿脱落的罪魁祸首,竟然是它?
  • 上一篇:这个年轻人满口牙掉光了,真相竟是……
  • 下一篇:重度牙周炎导致的牙齿松动应该怎么治疗?
返回列表

分享至

  • 诊疗项目
  • 关于德伦
  • 人才招聘
  • 连锁分院

预约/咨询热线
020-83782905
营业时间:9:00-18:00
全年365天无休,节假日照常值班

口腔种植 牙齿矫正 舒适儿牙 牙齿修复 牙体牙髓 口腔保健
德伦品牌 学术研究 新闻动态 公益事业 环境设备 视频中心
加入我们
  • 德伦首页
  • 德伦品牌
  • 牙科项目
  • 专家团队
  • 儿童口腔
  • 爱牙工程
  • 德伦环境
  • 分院导航

您的位置: > 口腔内科 > 牙周科 > 牙齿松动 >

你知道吗?牙周病的尽头是全口牙掉光光!
2023-09-23 17:19来源:德伦口腔点击:次
吃东西就塞牙,难受!牙龈反复红肿,牙齿变长、牙缝变大?早上刷牙,突然刷掉了一颗。
 

 
很多人出现以上症状时,起初并不重视,久而久之,牙缝越来越大,牙齿越来越长,慢慢就开始松动了、咬东西没力,如果再放任不管的下场就是——牙槽骨萎缩、全口牙掉光……
 

 
什么是牙周病?
 
牙周病,是指牙齿支持的组织发生病变,即牙肉、牙附近的骨头发生病变、破坏。它是会导致牙齿不能保留的原因之一,是危害人类牙齿和全身健康的口腔疾病。
 

 
警惕:牙周病还与全身病有着密切的关系,例如糖尿病,心脑血管疾病,目前的研究告诉我们牙周病和这些系统性疾病史相互促进、相互影响的。
 
牙周病的早期症状并不以引起人们的重视,等到就诊时一般都已经很严重,不仅损害口腔咀嚼功能,还会严重影响全身健康。
 
牙周病导致的牙齿松动需要拔牙吗?
 
牙齿松动后,是否有保留价值、需不需要拔除,要看牙齿松动的情况。若轻度松动,通过有效的牙周治疗,可以恢复正常。

 
若中度松动,应固定松动牙与邻牙,以降低松动牙的负荷;若重度松动,可以根据患者的条件,可采用先拔牙后种牙的方法,避免因缺牙长期不修复,造成的邻牙歪斜、脱落的风险。

 
许多人看牙不是发现症状、马上就诊,而是牙周病发展到了非常严重的地步才寻求帮助。然而,这时的牙周病往往已到中、晚期,治疗难度增加、周期长、费用高。因此,每半年到一年进行定期口腔检查和牙周检查,预防包括牙周疾病在内的口腔疾病,是非常重要的。

如果您还有其它问题,可以在线咨询德伦口腔专家为您解答相关口腔问题,您也可以拨打全国热线电话 020-83782905 咨询,德伦口腔专家会竭尽所能的帮助您。在线咨询德伦口腔专家>>>
牙齿问题在线咨询 020-8378 2905

网上自助挂号

患者
须知

贯彻国家卫生部新医改政策,严格落实解决挂号难、看病难问题,开展网络自助预约挂号服务。

选择科室*

  • 种植科
  • 正畸科
  • 综合牙科
  • 儿童齿科

选择年龄*

  • 18岁以下
  • 18-30岁
  • 30-50岁
  • 50岁以上

口腔连锁品牌

  • 首页
  • 项目
  • 顶部

专家预约热线:020-8378 2905
本网站信息仅供参考,不能作为诊疗及医疗依据
广州德伦口腔 粤ICP备11073526号