德伦口腔:让全民拥有一口健康好牙

020-83782905关注我们:

  • 首 页
  • 关于德伦
    德伦品牌
    学术科研
    公益事业
    环境设备
  • 专家团队
  • 在线挂号
  • 加入我们
  • English

您的位置: > 口腔正畸中心 > 牙列拥挤 >

牙齿拥挤:别人矫正不拔牙,为什么我要?

发表于:2023-04-29 来源:德伦口腔 编辑:徐编 点击:次

牙齿拥挤是牙齿错颌常见的情况,但很多朋友经常会一听说正畸需拔牙就开始犹豫了;其实牙齿拥挤不及时矫正,不仅会影响美观,对口腔健康来说也会是一个很大隐患;那有没有不拔牙的方式呢?可以只矫正半口牙吗?牙齿拥挤可以预防吗?......别急,今天给大家详细捋一捋“牙齿拥挤”~
 
什么是牙齿拥挤?
 
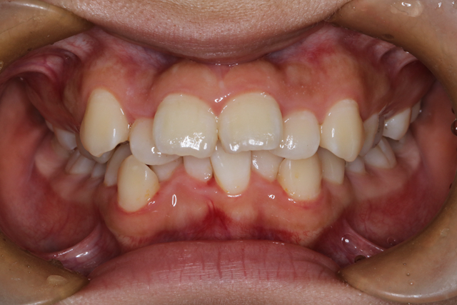
主要表现是牙齿错位排列;因牙齿量大于牙床的容纳量,没有足够空间排列,导致牙齿只好歪歪扭扭乱长。比如虎牙、兔子牙,这些看似可爱的牙齿,其实也是牙齿拥挤的一种。查看德伦口腔牙齿拥挤矫正案例>>>

 
为什么会出现牙齿拥挤?
 
引起牙齿拥挤畸形的原因有先天因素,也有后天因素,有些因素尽早预防还是可以避免牙齿拥挤的。
 
1.遗传性
牙列拥挤具有明显的遗传特征,如果父母牙齿不齐,那么孩子牙齿不齐的可能性就很大。
 
2.不良的习惯
吸手指、口呼吸、吐舌、咬上下唇、换牙期舔牙等习惯,甚至睡觉姿势不对都可能导致牙齿不整齐。


 
3.颌骨发育不足
颌骨发育不足造成大量骨量不调,牙齿不能整齐排列在齿槽内,而拥挤错位。
 
4.牙齿过大
如果个别牙齿宽度过大,就会占据较多空间,造成拥挤错乱。


 
5.替牙期故障
乳牙早失会造成邻牙前移占据缺牙隙,造成恒牙萌出时,间隙不足而错位;乳牙滞留导致恒牙没有空隙萌出,只能错位长出。所以替牙期非常关键;如发现问题,需尽快处理。
 

 
拥挤不齐一定要拔牙矫正吗?
 
如果没有拔牙留出足够空隙就硬性排齐严重拥挤的牙齿,很可能会形成一排整齐的“大龅牙”,且未能得到一个兼顾口腔健康和面容美貌的双重效果。
 
但不是所有的矫正需要拔牙!是否需要拔牙应根据病情而定,一般遵循的原则是“能不拔牙尽量不拔牙”、“少拔牙”、“病牙优先”。
 
 
如果您还有其它问题,可以在线咨询德伦口腔专家为您解答相关口腔问题,您也可以拨打全国热线电话 020-83782905 咨询,德伦口腔专家会竭尽所能的帮助您。在线咨询德伦正畸专家>>>

热点推荐

Recommended

• 矫正拔牙后的缝隙可以恢复吗?需
• 牙齿矫正一定要拔牙吗?一下子拔
• 牙齿矫正了半年,我为什么还没变
• 牙齿拥挤不齐一定要拔牙吗?
• 矫牙反弹,你可能忽略了这几点!
• 我只是想要矫牙,为何医生说先拔
• 牙齿拥挤:别人矫正不拔牙,为什
• 牙列拥挤的危害与治疗
  • 上一篇:牙列拥挤的危害与治疗
  • 下一篇:我只是想要矫牙,为何医生说先拔牙?
返回列表

分享至

  • 诊疗项目
  • 关于德伦
  • 人才招聘
  • 连锁分院

预约/咨询热线
020-83782905
营业时间:9:00-18:00
全年365天无休,节假日照常值班

口腔种植 牙齿矫正 舒适儿牙 牙齿修复 牙体牙髓 口腔保健
德伦品牌 学术研究 新闻动态 公益事业 环境设备
加入我们
  • 德伦首页
  • 德伦品牌
  • 牙科项目
  • 专家团队
  • 儿童口腔
  • 爱牙工程
  • 德伦环境
  • 分院导航

您的位置: > 口腔正畸中心 > 牙列拥挤 >

牙齿拥挤:别人矫正不拔牙,为什么我要?
2023-04-29 17:45来源:德伦口腔点击:次
牙齿拥挤是牙齿错颌常见的情况,但很多朋友经常会一听说正畸需拔牙就开始犹豫了;其实牙齿拥挤不及时矫正,不仅会影响美观,对口腔健康来说也会是一个很大隐患;那有没有不拔牙的方式呢?可以只矫正半口牙吗?牙齿拥挤可以预防吗?......别急,今天给大家详细捋一捋“牙齿拥挤”~
 
什么是牙齿拥挤?
 
主要表现是牙齿错位排列;因牙齿量大于牙床的容纳量,没有足够空间排列,导致牙齿只好歪歪扭扭乱长。比如虎牙、兔子牙,这些看似可爱的牙齿,其实也是牙齿拥挤的一种。查看德伦口腔牙齿拥挤矫正案例>>>

 
为什么会出现牙齿拥挤?
 
引起牙齿拥挤畸形的原因有先天因素,也有后天因素,有些因素尽早预防还是可以避免牙齿拥挤的。
 
1.遗传性
牙列拥挤具有明显的遗传特征,如果父母牙齿不齐,那么孩子牙齿不齐的可能性就很大。
 
2.不良的习惯
吸手指、口呼吸、吐舌、咬上下唇、换牙期舔牙等习惯,甚至睡觉姿势不对都可能导致牙齿不整齐。


 
3.颌骨发育不足
颌骨发育不足造成大量骨量不调,牙齿不能整齐排列在齿槽内,而拥挤错位。
 
4.牙齿过大
如果个别牙齿宽度过大,就会占据较多空间,造成拥挤错乱。


 
5.替牙期故障
乳牙早失会造成邻牙前移占据缺牙隙,造成恒牙萌出时,间隙不足而错位;乳牙滞留导致恒牙没有空隙萌出,只能错位长出。所以替牙期非常关键;如发现问题,需尽快处理。
 

 
拥挤不齐一定要拔牙矫正吗?
 
如果没有拔牙留出足够空隙就硬性排齐严重拥挤的牙齿,很可能会形成一排整齐的“大龅牙”,且未能得到一个兼顾口腔健康和面容美貌的双重效果。
 
但不是所有的矫正需要拔牙!是否需要拔牙应根据病情而定,一般遵循的原则是“能不拔牙尽量不拔牙”、“少拔牙”、“病牙优先”。
 
 
如果您还有其它问题,可以在线咨询德伦口腔专家为您解答相关口腔问题,您也可以拨打全国热线电话 020-83782905 咨询,德伦口腔专家会竭尽所能的帮助您。在线咨询德伦正畸专家>>>
牙齿问题在线咨询 020-8378 2905

网上自助挂号

患者
须知

贯彻国家卫生部新医改政策,严格落实解决挂号难、看病难问题,开展网络自助预约挂号服务。

选择科室*

  • 种植科
  • 正畸科
  • 综合牙科
  • 儿童齿科

选择年龄*

  • 18岁以下
  • 18-30岁
  • 30-50岁
  • 50岁以上

口腔连锁品牌

  • 首页
  • 项目
  • 顶部

专家预约热线:020-8378 2905
本网站信息仅供参考,不能作为诊疗及医疗依据
广州德伦口腔 粤ICP备11073526号